Pulpdent introduces next-generation bulk-fill dental restorative: Activa BioActive Bulk Flow
Pulpdent Corporation announces a new addition to its flagship Activa line of dental restorative materials: Activa BioActive Bulk Flow. The new product raises the standard of care for bulk-fill procedures by supporting the natural remineralization process,1 providing defense against secondary caries,2 and offering superior esthetics through its ShadeFusion universal shade matching technology. Activa BioActive Bulk Flow gives dentists a new tool to perform Class II restorations, one of the most common treatments in dentistry.
As a next-generation product, Activa BioActive Bulk Flow not only raises treatment standards, but also overcomes efficiency limitations of traditional bulk-fill materials. For example, it offers unique protection against shrinkage stress and wear through its patented stress-reducing monomer, Modulus. For practitioners, it provides a true self-leveling and one-step bulk-fill solution thanks to its unlimited depth of cure and ability to be used without a capping layer. When taken together, Activa BioActive Bulk Flow’s unique properties empower providers to improve patient care while boosting chair-time efficiency and practice production.
“Activa BioActive Bulk Flow is an exciting step forward for dentistry and our company,” says Michael Jeffery, Pulpdent Director of Product and Strategy. “We believe this product ushers in a new, higher standard of care for dental patients worldwide. The product provides immediate cost-saving efficiencies for today’s business of dentistry. This is particularly true of Activa BioActive Bulk Flow’s ability to simplify class II procedures, one of the most common yet challenging treatments in general dental practices, pediatric dental practices, and DSOs.”
In recent years, bulk filling has become a mainstay procedure for the treatment of dental caries and other restorative needs. However, confidence in existing bulk-fill materials is often compromised due to challenges with photopolymerization and shrinkage stress, as well as bulk-filled restorations’ susceptibility to microleakage, bacterial incursion, and restorative failure.
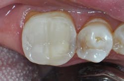
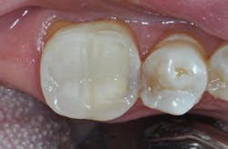
Traditional limitations were squarely in mind with the development of Activa BioActive Bulk Flow, which addresses these shortcomings. It self-levels easily, flows naturally, and exhibits elevated chroma and translucency matching. Independent testing demonstrates Activa BioActive Bulk Flow provides superior protection against microleakage,3 volume wear,4 and shrinkage stress,5 all at thresholds that meet or exceed existing standards for top-tier restorative materials.
The viscosity of Activa BioActive Bulk Flow is ideal for various clinical situations. For example, in cases requiring restoration of deep boxes and cavernous lesions, the material ensures proper treatment thanks to its flowability and dual-cure properties. With its unlimited depth of cure and no layering/capping requirement, dentists can be confident that the risk of voids is minimized.
Furthermore, Activa BioActive Bulk Flow provides an option for dentists who appreciate Activa’s bioactive properties but want to work without a dispenser. Activa BioActive Bulk Flow simplifies inventory thanks to ShadeFusion universal color matching. The material is sufficiently radiopaque so dentists can be confident that it will be visible for any clinician evaluating their patient for years to come.
For pediatric dentistry, Activa BioActive Bulk Flow is available in a special formulation for primary dentition—Activa Kids BioActive Bulk Flow. This version has all the same properties as Activa BioActive Bulk Flow but offers two esthetic options optimized for children’s teeth. Activa Kids BioActive Bulk Flow’s universal shade matches primary dentition, while an opaque white shade is available for when visible restoration margins are desired. As with all members of the Activa family of restoratives, Activa Kids BioActive Bulk Flow contains no BPA, no bis-GMA, and no BPA derivatives.
“Activa BioActive Bulk Flow is a natural expansion of our Activa research that relieves critical pain points for dentists,” says Lew Berk, Pulpdent Managing Director. “The product is a perfect complement to our existing line, while offering new users a novel material choice for their practice style. The product reflects our longstanding mission, first espoused in 1947 by Pulpdent founder Dr. Harold Berk, to save teeth and help patients live in comfort and smile with confidence. It also meets our vision to empower dentists with higher standards of care and new practice efficiencies. From our R&D scientists to our manufacturing specialists, I’m very proud of our team and pleased to introduce Activa BioActive Bulk Flow to dentists around the world.”
The product was unveiled at the 2024 Greater New York Dental Meeting. It’s available for premarket ordering at pulpdent.com/best-bulk-fill, and will begin rolling out to Pulpdent’s network of distribution partners for sale and shipping on January 1, 2025. The product comes in a 5g syringe and includes 10 automix tips. As with all Pulpdent products, it’s made in the US to the highest quality assurance standards in Pulpdent’s manufacturing facilities in Watertown, Massachusetts.
For more information, including background on the science of bioactivity and related clinical research, visit pulpdent.com/pulpdent-products/activa-bioactive-bulk-flow/. To take advantage of limited-time launch offers and/or to request a demonstration by a Pulpdent area representative, visit pulpdent.com/best-bulk-fill.
Pulpdent press release dated 12/2/2024.
Endnotes
1. The remineralization process is a natural repair mechanism to restore the minerals again, in ionic forms, to the hydroxyapatite (HAP) crystal lattice. Source: Arifa MK, Ephraim R, Rajamani T. Recent advances in dental hard tissue remineralization: a review of literature. International Journal of Clinical Pediatric Dentistry. 2019;12(2):139.
2. Activa BioActive physically seals the margin of the material and tooth interface through mineral apatite formation, subsequently protecting against microleakage, the leading cause of secondary caries and recurrent decay.
3. Source: Marginal bacterial leakage in Class I cavities filled with two bioactive restorative materials: An ex vivo study. Zmener O, Odont, Pamejer CH, Della Porta R. Pending publication: Int Dent J, 2025. In the study, Activa Bioactive Bulk flow exhibited 92% experimental survival/success rate when compared to Predicta Bioactive Bulk (66%) and Omnichroma Flow Bulk (0%). See Activa Bioactive Bulk Flow product page on pulpdent.com for additional details.
4. Activa BioActive Bulk Flow demonstrates volume wear of 2mm3 after one year and 5mm3 after five years. Comparison made to Omnichroma Flow Bulk. Source: Independent third-party testing by SD Mechantronik. See Activa Bioactive Bulk Flow product page on pulpdent.com for details.
5. Activa BioActive Bulk Flow demonstrates maximum stress rate of less than 0.01 MPa/s. Comparison made to Dentsply Sirona SDR Flow+, 3M Filtek One Bulk Fill Restorative, and Omnichroma Flow Bulk. ACTIVA BioACTIVE Bulk Flow shrinkage stress rate testing within lowest statistical grouping along with SDR Flow+. Independent university testing, publication pending: American Association for Dental, Oral, and Craniofacial Research, 2025. Disclaimer: See Activa Bioactive Bulk Flow product page on pulpdent.com for full details.






