All about the amazing Advantalock
By Steven Rose, Orange County Cosmetic Dental Laboratory
Would you believe that you could get all the benefits comparable to an implant case in a removable partial denture? It’s true! The newly designed Advantalock Partial gives you this, and it will completely change the way you look at partial dentures. The Advantalock Partial was designed to finally provide partial denture patients with excellent retention, security, and esthetics. This edition of “Tips from the Lab” will inform you about Advantalock Partial and its development, characteristics, benefits, and insertion techniques.
Development
The Advantalock Partial was developed at Orange County Cosmetic Dental Laboratory by its founder, Alex Posca. Posca, a pioneer in removable prosthetic appliances, is also known for developing the Elasti-Grip Partial, Totally Natural, TCS Flexible, and the thermoplastic design with metal cast rest seats. Posca’s vast experience in the partial denture and implant arenas made him realize he could synergize the two systems. He found that, by using the Hader bar technique on a removable metal framework, it would allow edentulous patients who are not good implant candidates to still have the similar benefits of an implant case.
Advantalock System
The Advantalock Partial is a two-piece partial system. The Advantalock system has two main components - the base assembly with a Hader bar cast on the framework, and the Advantalock clip (figure 1).
First, place the base assembly framework in the mouth. Once the base assembly framework is placed, the Advantalock clip is attached onto the Hader bar, securely locking the partial in place. Once the two pieces are engaged, the partial cannot be removed unless you first remove the Advantalock clip. The Advantalock partial achieves its retention by engaging the undercuts in the guide plane areas, which are normally blocked out in a conventional partial denture. This patent-pending technology is what allows the Advantalock Partial to achieve superior retention comparable to implants and bridges, with virtually no stress on the abutment teeth. No special preps or crowns are necessary to fabricate an Advantalock Partial. An Advantalock unilateral can also now be included in your treatment planning, without fear of the unilateral becoming dislodged. The Advantalock Partial is not just limited to anterior cases, but can also be done in posterior and most free end saddle cases. It is recommended to design the case with the laboratory before fabrication.
There are many benefits of this two-piece system. First, it has eliminated the need for any metal or thermoplastic clasps (figure 2), leaving your patient with a truly natural-looking smile. Plus, unlike the sometimes difficult-to-adjust thermoplastics, the Advantalock design uses an acrylic resin with a Vitallium framework, making it much easier to adjust. Additionally, patients can enjoy eating any type of food without fear of the partial being dislodged. The Advantalock Partial also practically eliminates a patient’s problems with food trapping underneath his or her partial dentures.
“What impressed me about the Advantalock Partial was how securely it stayed in the mouth,” said Dr. Bennie Ruiz from Long Beach, Calif. “As you know, a loose fitting partial is a major contributor to tooth loss. With the Advantalock Partial, there is virtually no movement and, for me, that results in fewer adjustments and greater patient satisfaction.”
How to insert an Advantalock Partial
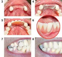
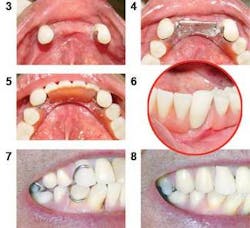
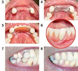
Note the two examples of an Advantalock Partial case insertion - this is an overview of the patient’s mouth with only two cuspids (#22 and #27) remaining in the mandibular arch (figure 3). First, place the base assembly frame in the mouth (figure 4). The base assembly frame will lock into the undercuts in the guide plane areas. Once the base assembly frame is placed in the mouth, attach the Advantalock clip onto the base assembly frame (figure 5). The base assembly frame and the Advantalock clip will lock together securely. The patient will be surprised how natural and comfortable the Advantalock Partial feels. After the Advantalock Partial is seated, the patient will have a perfectly natural smile without any metal clasps showing (figure 6). The patient will have a boost of confidence with no unsightly clasps in his or her smile (figures 7 and 8).
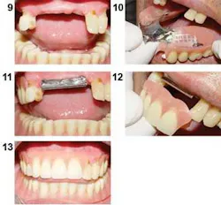
The second example is of an anterior front view of an Advantalock insertion. This patient has #6, 10, and 11 remaining in the maxillary arch (figure 9). First, place the base assembly frame in the mouth (figure 10). Once the base assembly is placed, you will be able to see how the Hader bar sits in the anterior (figure 11). Then, attach the Advantalock clip onto the base assembly frame (figure 12). Again, the base assembly frame and the Advantalock clip will lock together securely. The patient will have a secure, comfortable, and genuine-looking smile (figure 13).
null
Summary
Advantalock is a superior choice for partial denture patients, providing incomparable results in function and esthetics. Advantalock has proven itself by winning the hearts of edentulous patients who have used other restorations in the past and have now found their solution with the Advantalock. O.C. Cosmetic Dental Laboratory has a free instructional video-CD and patient education brochures. For more information, call O.C. Cosmetic Dental Laboratory at (800) 696-7165.
Steven Rose is a co-owner of O.C. Cosmetic Dental Laboratory. He began his laboratory career with renowned Posca Family over a decade ago. Specializing in removable prosthetics, he has helped with the design of several innovative Partial designs such as the thermoplastic cast rest seat design and the Advantalock Partial. Lately, O.C. Cosmetic has been at the helm of innovation in removable prosthodontics. Rose may be reached via e-mail at [email protected].




