Secrets to successful dental dam placement
By Mary R. Costello, CDA, BS
Part II — Advanced Techniques
Editor's Note: This is the second part of a two-part series by Mary Costello, leader of the nationally known Dam-It! It's EasySM Educational Programs. This article covers advanced concepts, while an article in the January/February 2003 issue of DE&M tackled basic concepts.
There are times when dentists who use dam frequently forego using this valuable tool due to clinical circumstances that appear to make dental dam usage a hindrance. In some cases this may be justified, but, in many cases, it is just a matter of knowing how to deal with these difficult scenarios. The objective of this article is to examine some of the common clinical scenarios that occur with dental dam usage and discuss more advanced isolation procedures.
Troubleshooting
A common problem is leakage that occurs around the necks of the teeth. This may be due to lack of proper sizing of the holes in the dam, incorrect spacing between the punched holes, or lack of good inversion. When preparing the dam, it is important to punch the appropriate hole sizes for the teeth isolated (figure 1) and to space the punched holes at least 1/4" apart. Hole sizing is an issue if the hole punched is too large, as that will cause leakage at the necks of the teeth. Spacing between the punched holes is also critical; there must be enough interseptal dam material to cover the interdental papillae and to invert on either side. There are times when the standard method of inversion such as drying the area with air and tucking the dam under does not result in good inversion. Generally, the problem areas are with the canines and anterior teeth on the lower arch.
null
Once the field is dry, another option is to place a piece of floss around the neck of the tooth on all surfaces, then crossing the floss on the facial surface and gently tucking the floss gingivally into the sulcus. It is not necessary to ligate the floss in place. Just uncross the floss and remove the distal piece of floss from the contact. By doing so, the floss is ready to be placed on the adjacent tooth for repetition of the same procedure (figure 2). When using this technique, one could essentially invert an entire quadrant of teeth by moving from tooth to tooth very easily.
null
null
Some other potential issues when using a dental dam are dealing with the interseptal dam when preparing interproximal cavity preparations and use of matrix bands. If the proximal preparations are not too deep, use either a wooden wedge or Wedjets® Dental Dam Stabilizing Cord to depress the interseptal dam (figure 3). If the proximal preparations are deep, lift the interseptal dam with a composite instrument and reposition it to an adjacent interdental space after the contact is opened with a bur. Once the preparation is completed, return the interseptal dam to its original position (figure 4).
null
With the newer matrix systems on the market, placement of a matrix using dental dam should not present a problem. Systems that do not use a tofflemire will less likely run interference with the mesial extensions on a winged clamp. Contoured sectional matrix systems used with either G-Rings® or Bitine® Rings permit easy access to the restorative site, even with the dental dam in place (figure 5). If the last tooth in the arch requires an interproximal restoration, use a flat-jawed clamp rather than a curved-jawed clamp, as the curved-jawed clamp will not allow the matrix to seat fully. If a distal preparation is required on the last tooth, rotate the clamp so its bow is on the mesial instead of the distal of the tooth. Retract the distal dental dam with the end of a mirror handle and use a surgical-length friction grip bur to gain access to the distal of the tooth. Once the distal preparation is completed, reposition the clamp to its proper position.
null
Finally, a quick trick to adding an extra hole in the dam once it is in place is using a locking forceps to grasp a small piece of dam over the tooth to be added to the isolation, and cutting the dam just beneath the tip of the forceps (figure 6). The result is a clean-cut hole with no tears. This technique is only recommended for adding teeth at either end of an isolation, but not between already punched holes.
null
Advanced techniques
Although there are many clinical applications that involve advanced techniques, this segment will be limited to three specific areas — isolation of Class V restorations, isolation of bleaching cases, and isolation involving fixed prosthesis and laminate veneers.
null
Class V restorations — When restoring Class V restorations while using the dental dam, one must first understand the principles of primary and secondary retention. Primary retention refers to the anchoring of the dental dam in place at each end of the isolation. Primary retainers may be clamps, Wedjets® Cord, or floss. Secondary retention refers to additional securing of the dam once the primary retainers are in place to gain better access, thereby improving the quality of the isolation. Some examples of secondary retention are the use of floss ligation or other clamps to gain additional retraction of the dental dam.
Common retainers that are used for Class V restorations are gingival retractor clamps. The most widely used anterior styles are the #212, B5, and B6 (Brinker's gingival retractors). The jaws of the B5 and B6 are offset, with the facial jaw oriented in an apical direction and the lingual jaw oriented in an occlusal direction. This feature allows these clamps to be seated to the depth of the gingival sulcus without tissue laceration, resulting in excellent access to the cervical lesion. Gingival retractor clamps are designed to give the operator greater access to the area as compared to the #9 anterior clamp. Anterior gingival retractor clamps must be stabilized with compound once they are seated as they do have a tendency to rock. To stabilize a retractor clamp, use green stick modeling compound that has been heated so that it is workable but not sticky. Shape the compound into a small cylinder, glaze one end, and place the glazed end onto the tooth's surface, then mold it to engage the retractor's bow. Repeat the procedure for the other bow (figure 7).
null
There are also gingival retractor clamps for posterior Class V restorations of which many practitioners may be unaware. These are the Brinker's B1, B2, and B3. These clamps provide greater access than a standard clamp. The jaws are designed smaller and flatter than most molar clamps. It is this unique design that provides the gingival retraction necessary for such clinical cases. The B1 is a universal retractor for all mandibular molar teeth. The B2 and B3 are a paired set of clamps, as the buccal jaw is wider than the lingual jaw, and are recommended for use on maxillary molar teeth. Incidentally, the B2 and B3 are good choices for sealant isolation, as the jaws do not impinge on tissue as do a #14A or #8A.
Bleaching cases — When determining which teeth to isolate for bleaching cases, it is imperative to check the patient's smile. As some individuals may show more teeth than others, apply the dental dam at least one tooth distal to the last teeth being bleached. Generally, this is from first premolar to first premolar; however, in some cases, it could be from first molar to first molar.
null
Successful results are dependent on good gingival retraction. Use heavy or X-heavy dental dam and use the steps described previously to invert each tooth. A running ligation using either floss or X-Small Wedjets" Cord is recommended for further retraction. To place this ligation, start at one end of the isolation and insert the floss or Wedjets Cord on the distal of the last tooth, wrap the floss/cord in a figure-eight pattern around the necks of the teeth moving to the other side of the isolation. Tuck the floss/cord into the sulcus of each tooth using a blunted instrument. Now wrap the remaining floss/cord in a figure-eight pattern and return to the other end of the isolation, which should be where you originally started. Tuck the remaining floss/cord into the sulcus of each tooth and tie both ends of the floss/cord using a surgical knot (figure 9). The running ligation allows the operator to apply one continuous ligation to the gingival area much more quickly than to apply individual ligations to all the teeth.
null
Fixed prosthesis/laminate veneers — There are various techniques for isolating around a fixed prosthesis. One of the easiest and most popular is the general field isolation, commonly known as the split dam technique. There are actually three variations to this technique. The first variation — and most widely known — is cutting a slit between two punched holes. The dam is stretched over the operating site and the ends are secured with either Wedjets Cord, clamps, or a combination of both. The second variation is commonly used by pedodontists and involves punching three holes in the dam. A winged molar clamp is inserted into the most distal hole, and a slit is cut between the other two holes, making sure not to cut the interseptal dam around the clamp. The clamp is seated on the anchor tooth, the dam is stretched to the most mesial tooth in the isolation, and a Wedjets Cord is used to secure the dam in place. The third variation is recommended for anterior teeth isolation. Four holes are punched in the dam to allow for some arch curvature. A slit is cut from the second to the third hole, leaving the mesial dam intact around hole #1 and #4. The dam is stretched over the operating site that generally includes either canine to canine or first premolar to first premolar. Wedjets Cord is used to secure the dam at both ends of the isolation (figure 10). In all these variations, the cut dam material is tucked under on the lingual and buccal vestibules. Another trick to ensure good inversion is to make the spacing between the holes half the distance of the area to be isolated. The extra tension on the dam assists with inversion and the dam material is more likely to stay in place. A product that may assist with inversion of the general field isolation is called the Bond Buddy. The plastic device fits around the bow of the clamp and has a lingual and buccal lip that retracts the dam out of the operating site (figure 11).
null
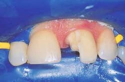
When isolating for crown preparations, two options are available. The first option is to use any of the variations of the general field isolation, depending on the location of the tooth to be prepared. The second option is to isolate in the traditional manner (use heavy gauge dental dam for better retraction), and use a gingival retractor clamp such as the B4 to gain access for crown preparation. The B4 is a universal retractor for all maxillary and mandibular premolar and incisor teeth. The B4 is designed to retract below the preparation's margins and, due to its size, more than one clamp may be used on adjacent teeth at the same time, allowing the operator to prepare several teeth during the same procedure. Stabilize the B4 in the same manner as described for the B5 and B6. This same clamp may be used for crown cementation or bonding (figure 12).
null
Isolating techniques for laminate veneer preparations may vary between the traditional method of including the interseptal dam or the anterior general field isolation as explained for fixed prosthesis. If the margins of the laminate veneers are not subgingival, then the traditional dental dam isolation using heavy gauge dam provides greater moisture control. However, for subgingival preparations, the general field isolation is more appropriate.
Summary
The art of dentistry provides clinicians with many new challenges. Developing dental dam placement skills is dependent upon receiving appropriate training, using some ingenuity, and keeping a positive attitude. Utilizing the techniques discussed in this article, the dental dam may be used for most clinical procedures. Now that's the way to practice stress-free dentistry!
Mary Costello, CDA, has more than 30 years of experience in the dental field, serving as expanded duties dental auxiliary for the U.S. Army, a dental coordinator for a hospital-based dental center, and a dental dam instructor, lecturing throughout the U.S. and Canada. Costello is currently continuing education manager and professional relations-Hygenic products for Coltene/Whaledent, Inc. To schedule a seminar for your staff or organization, contact Costello at (330) 492-8585, or send an e-mail to [email protected].












