Laser-assisted restorative dentistry
By Michael D. Swick, DMD
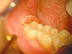
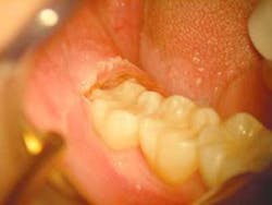
Often when a general dentist is restoring lower molars, an operculum can be found which can hinder his or her restorative endeavors (Fig. 1). The perfect tool for removing this operculum and assisting the dentist is the soft-tissue laser. The soft-tissue laser can remove the offending operculum atraumatically, often with little or no anesthesia and no postoperative discomfort or bleeding. Those who practice microdentistry with air abrasion or a hard-tissue laser can be particularly assisted by the durable hemostasis afforded by a soft-tissue laser. Those dentists who are familiar with hard-tissue lasers know that, although soft-tissue surgery is possible with the Erbium wavelengths, the hemostasis that is afforded can be negligible in all but the healthiest tissues. This is a fact that is supported by the physics of the wavelengths. The author, who is a lecturer for bioLitec is particularly excited by the excellent tissue effects, no charring and durable hemostasis, that are derived by the 980nm wavelength of the bioLitec SmilePro 980. This wavelength has the highest water absorption of all of the near-infrared wavelengths. Since tissue is comprised of nearly 60 to 80 percent water, water absorption is a valuable property in tissue-cutting lasers.
The tooth in question (#31) is to be treated by micro-air-abrasion, which is being more widely accepted due to the efforts of J. Tim Rainey, The Society for Advanced Microdentistry, and, alternatively, members of the Congress of Microdentistry, Kim Kutsch, Stewart Rosenberg, Graeme Milicich, and others. Forgive me, if I've left your name from the list or if I've placed them in an incorrect order. The work performed is facilitated by the use of a Seiler surgical operating microscope, a necessary adjunct for any dentist practicing minimally invasive dentistry or, in the author's opinion, any form of dentistry. Magnification can greatly improve any dentist's results regardless of the acuity if his or her vision and is being addressed in several of the more progressive dental schools across the country.
In this case, due to an apprehensive patient, a few drops of 4% Citanest, with the aid of the Wand®, were delivered into the operculum. The tissue was removed with the 980nm diode laser, using the High Fluence Technique developed by the author (Fig. 2). The technique uses higher powers in a gated pulsed mode with water for cooling to accomplish ablation of the tissue at a rapid pace. An excessive time of exposure is often more damaging than the total power delivered, as excessive time allows for conduction of residual energy into the adjacent tissues causing collateral damage and thus postoperative pain. Fifteen watts of power was used gated .05 seconds on and .05 seconds off a 400um fiber and 15 seconds of laser time with water for cooling provided char-free, bloodless ablation. The author believes that this technique is not contrary to the Academy of Laser Dentistry's credo of "using the lowest power to get the job done," but rather it is consistent with it with one addition, "completing treatment in the shortest time while remaining in control." Excessive time can be our enemy when cutting tissue. The author also cautions that the higher fluences and water-cooling he advocates are only to be used with the 980nm wavelength and after proper training in the technique (Fig. 2).
The restorative treatment was completed without incident using micro-air-abrasion techniques. The restoration was placed and cured with a Lasermed Argon Laser (Fig. 3). The healing phase was unremarkable.
A quality soft-tissue laser, after proper training, can be a valuable adjunct to the armamentarium of the general dentist. Rapid ablation and durable hemostasis of all tissues, epithelium, and connective tissue are the most important qualities for the dentist's needs. Laser training is readily available through several groups in the United States and Canada. The Academy of Laser Dentistry, The Center for Dental Laser Education, the Institute for Laser Dentistry, and The Institute for Advanced Dental Laser Education are just some of the arenas where dental laser education is available. Many of the manufacturers provide quality education with a purchase of a laser. As a rule, all responsible manufacturers should provide adequate training for the dentists who purchase their instruments. Check with the manufacturer of your device before purchase.
null
null
null
Dr. Michael D. Swick is a general practitioner with offices in Allison Park and Conneaut Lake, Pa. He holds several proficiency ratings through the Academy of Laser Dentistry, and is a member of the Academy, as well as a fellow in the American Society of Laser Medicine and Surgery, and on the Board of Directors of the Society for Advanced Dentistry. He can be reached by e-mail at [email protected].





