Impossible Timing Becomes a Treatment Reality
WRITTEN BY
Nicole DeCaria Chenet, DDS
In today’s world, people have demanding schedules and high expectations, so instant results are in great demand. By utilizing technology in your practice, those patient desires can become reality. And we all know that there is nothing more satisfying than meeting our patients’ needs. Here is an example of how my Web site and CEREC 3D provided convenience to a person with very unique needs.
The patient, April, first contacted me via email in February 2004. She was working in Afghanistan for the U.S. government. She was due to return to the United States for 10 days, knowing she had several dental needs and little time to address them. April read about CEREC one-visit ceramic restorations on my Web site, scheduled a consultation, and hoped to finally tend to the dental needs she had neglected for years.
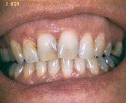
On her first visit in March 2004, a comprehensive exam, full-mouth radiographs, oral cancer screening, periodontal assessment, TMJ assessment, and intraoral photographs were taken. During her patient interview, April agreed that her dental health was “pretty poor.” She was concerned about two root canal treatments recently performed overseas. She was also worried about the obvious cavities and deteriorating amalgam restorations that were present. Cold sensitivity and chronic food impaction were present throughout her mouth. Her biggest wish was to have a whiter and straighter smile (Figure 1).
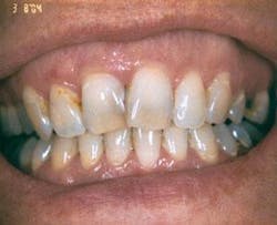
Upon examination, it was determined that Teeth Nos. 13, 14, 18, and 30 were indicated for root canal therapy (Figure 2). Fortunately, Dr. Christian Mangin, an endodontist, was able to accommodate this patient in the limited amount of time available. The remaining posterior teeth had large, carious, fractured amalgams. The maxillary anterior teeth had interproximal caries with crowding.
During April’s first visit, Dr. Mangin performed endodontic therapy on Teeth Nos. 13, 14, and 18. The patient then returned to my office. Teeth Nos. 13 and 14 were restored with fibercore posts and cemented with Variolink II and 3M Filtek composite cores. CEREC restorations were completed on Teeth Nos. 2, 3, 4, 13, 14, 15, 18, and 29. Prior to cementation, these teeth were isolated with dead soft .001 matrix bands. Consepsis was used to remove any contaminants, then a layer of Colgate Gel-Kam was air-dried on the tooth before bonding. Clearfil LV2B self-etching prime and bond was used to bond the CEREC restoration. The restorations were prepared by gently applying air abrasion to the underside of the restoration. Phosphoric acid (35 percent) was used to etch the bonding surface for one minute. Clearfil LV2B was also placed on the restoration. Variolink II base and catalyst were mixed and placed in a syringe to dispense into the isolated tooth. The CEREC restorations were seated into place, and the excess cement was removed with a rubber tip. The restorations were held in place with an amalgam condenser as my assistant cured each restoration for 30 seconds with an argon laser. The matrix band was removed, along with any excess cement, using a scaler and floss. The restoration was cured again for 30 seconds on the buccal and lingual surfaces of the tooth. Occlusion, proximal contacts, and margins were examined. The teeth were then polished using high-shine rubber cups and points, micropro polishing paste, and a blue bristle brush. Periodontal full-mouth debridement and extraction of Tooth No. 31 was also completed at this time. The patient was able to return to Afghanistan free of pain and infection and with greatly improved dental health. She looked forward to her next visit home to continue her treatment (Figure 3).
On her next visit in June 2004, Teeth Nos. 5 through 12 were prepared for veneers and crowns. Provisionals were fabricated utilizing a cosmetic wax-up. The patient was aware that I preferred to use a lab to fabricate these restorations. She was given patient instructions and Prevident 5000 to use daily. Due to a very short stay at home, this was the only time the patient was in provisionals upon returning to Afghanistan.
During April’s last visit home in September 2004, Dr. Mangin was able to perform endodontic retreatment on Tooth No. 30. Core buildups and CEREC restorations were completed on Teeth Nos. 19 and 30. Teeth Nos. 20 and 21 were also completed with CEREC restorations. The lab-fabricated porcelain restorations were cemented on Teeth Nos. 5 through 12 with Variolink cement.
The patient was thrilled and could not believe the results. In the interim, she revealed that she had met a nice Navy officer who told her he was first attracted to her beautiful smile! (Figure 4)
Due to her time and travel restraints, April’s dramatic full-mouth rehabilitation would not have been possible without CEREC 3D. She would have been in provisionals for extended periods of time, compromising her periodontal health.
Also, if these provisional crowns were to break or come off while she was abroad, she had no way to have them repaired. Not only did CEREC decrease the number of visits, but it eliminated potential difficulties seen with posterior provisionals. CEREC 3D made a seemingly impossible treatment into a reality. This is just one example of how CEREC has created convenient, high-quality ceramic restorations for people with demanding schedules.
CEREC 3D has improved my efficiency by eliminating a second appointment for insertion. This allows more availability for restorative visits and, in turn, more production.
CEREC has allowed my practice to grow without increasing my office hours. This affords me the time I want to balance dentistry with my family life. ■
Nicole DeCaria Chenet, DDS
Dr. Chenet practices in Pittsburgh, Pa. She attended the West Virginia University School of Dentistry. An active member of the ADA, Western Pennsylvania Dental Society, AGD, Academy of Laser Dentistry, and New Dentists Alliance, she participates in two local dental study clubs. Contact her at [email protected].







