Close the access opening of implant abutments
RELATED |Who should adjust mandibular incisal edges, and when?RELATED |Cementation of full-contour zirconia restorations When trying in an all-ceramic restoration on an implant abutment to confirm the esthetic outcome prior to its cementation, I suggest following these steps:1. If the screw access hole is on the labial aspect, it must be closed or blocked out, or the “black hole” will create a shadow and negatively impact the value of the all-ceramic restoration. This same shadow will occur if this is not managed correctly at the time of insertion.2. To close or block out the access opening, first place Teflon tape into the access opening. Over the tape, place an opaque temporary cement or opaque resin that totally masks the access hole. Ideally this should be the same process and materials that will be used at the time of try-in and final cementation of the restoration. If there is any metal exposed or shadow remaining, it will influence the esthetic appearance of the restoration.3. When doing the try-in, there are two reasons that I recommend using a try-in paste.A. First, it most closely simulates the color, value, and opacity of the final cement that will be used.B. Second, it connects the intaglio surface of the restoration to the prepared tooth or implant abutment. This “bridging of the gap" between the restoration and the abutment must occur to evaluate the esthetics of the restoration.
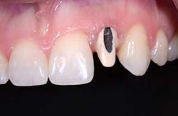
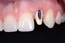
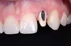
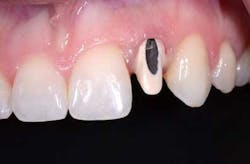
Fig. 1: There is a large access opening on the labial aspect of this UCLA abutment. The metal has been opaque and ceramic applied to allow the technician to use an all-ceramic restoration. Alternatively, a metal ceramic crown with a ceramic margin could be used.
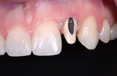
Fig. 2: If the access opening is left open, the alloy and the shadow will lower the value of the crown, making it appear too gray.
Reprinted with permission from Spear Education.
Reprinted with permission from Spear Education.




