Ask the Expert: X-ray questions and answers from Carestream Dental -- August 2011
Christopher A. WarrenTechnical Support EngineerImaging ConsultantCarestream DentalExclusive manufacturer of KODAK Dental Systems
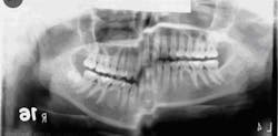
Last month we asked you to Diagnose the X-ray below and send in your answers on what you think the operator may have done wrong. Today we provide you with the image's diagnosis!This month we did not receive a correct diagnosis for the X-ray image problem. Be sure to send in your diagnosis for this month’s Diagnose the X-ray for a chance to win!
X-ray answerThe imaging error was caused by patient movement during exposure; note the step defect in the inferior border mandible. Film exposing and handling tips
- If portions of a panoramic radiograph are blurred and exhibit large steps as seen with the inferior border mandible, the X-ray may need to be retaken.
- Remember that an average panoramic exposure takes approximately 15 seconds.
- Instruct patients about the exposure time so they know what to expect.
- Remind the patient to hold still prior to and during the exposure.
Here is our latest in a series of images for you to help identify the problem. Respond correctly for a chance to win a $25 gift card. What did the operator do wrong to achieve this image? Click here to answer. Be sure to look for the cause of the problem and Chris’s recommendation in our next article!Contact usDo you have a question or concern about your KODAK dental film? If so, contact Chris.Looking for an authorized dealer?Need more information about KODAK dental film, call (800) 933-8031 or visit www.carestreamdental.com.© Carestream Health, Inc.The KODAK trademark and trade dress are used under license from Kodak.



