Orthodontic movement for the general dentist
For many of us, our orthodontic training consists of a few dental school wire-bending classes, the fabrication of a space maintainer, and a few articles that we have read about clear aligners or rapid movement-type braces. The proposition of learning and proceeding with tooth movement in the general dentistry office generally holds as much strength as a New Year resolution. We are definitely going to try it ... soon ... when we have time ... maybe later ... what was I thinking?
Orthodontic movement does not need to be so daunting. There are amazing advances in tooth movement, from simple to more complex, that can change the way you practice dentistry.
Think about all the times you have had a patient come in for a cosmetic consultation … a patient who needs movement but doesn't want braces? The bonding or veneer work may not even be possible to achieve what the patient is looking for due to extreme malposition. We have been trained to do no harm, and that can make what the patient wants to achieve, without the aid of repositioning, difficult if not impossible.
Minor tooth movement
The Hawley appliance
When cosmetics warrant movement of incisors only, minor movement can be done quickly and easily with a Hawley appliance. The fabrication of the appliance can be done by your local orthodontic lab. The appliance can help move a labial or lingually shifted tooth into proper position, or turn rotated teeth back into place.
All you need to start, after radiographs and photos, is a double set of alginates with bite registration — one set for the lab and one set to keep as a records start model. The design of the appliance can also be done by your lab. If you can properly communicate the desired teeth and movements required, a good lab can create an appliance suited to those movements. Talk to your lab about which areas to tighten, screw down, or activate, and the lab can explain how to effectively get the movement you desire.
Major tooth movement
Short-term braces
This procedure is an excellent therapy to utilize when the patient requires rapid tooth movement for cosmetics and does not wish to change molar occlusion. The treatment allows patients to have the effectiveness of braces without feeling like they have braces.
RELATED | Orthodontic tooth movement with clear aligners: seeing results with the invisible
Four- to eight-month rapid cosmetic orthodontic treatment combines the best of traditional orthodontics with modern esthetically appealing treatments. As the names suggest, Six Month Smiles® can transform your teeth in an average of about six months. The treatments use traditional wires and brackets that are tooth-colored for a less noticeable look. The patient is seen once per month for adjustments, photos, and wire changes.
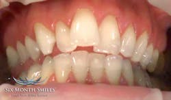
The training required is a two-day training seminar. Training includes hardware placement, case selection, debanding and retention, proper photography and documentation, and use of 24-hour customer support. There are also advanced training classes available. You are guided through the process with the ability to ask for advice on your case, and tips and tricks from highly trained staff and practitioners.Six Month Smiles — During
Six Month Smiles — After
Clear aligner therapy
A cosmetic alternative to traditional braces, the aligners are removable and can provide major movement of the full arch, including molars. Aligner orthodontic treatment realigns the teeth through a series of clear, custom-made retainers. Each retainer, or aligner, is created using impressions taken of your teeth for a perfect fit. Aligners can be removed while eating and brushing for added comfort and ease of practicing proper oral hygiene. The duration of treatment depends on individual needs, but in general, may take between 12 and 48 months.
ADDITIONAL READING |The role of tooth movement for aligning gingival margins in preparation of cosmetic restorations
Aligner therapy, specifically Invisalign, requires a one-day training course for the dentist and additional staff training. You will learn proper impression technique, case selection, retention, use of software, aspects of in-office aligner therapy procedures, and how to access customer support.
This is a procedure that can be learned in one day! There are additional advanced training technique courses, but you can start treating patients immediately. There is excellent support to help you along with case planning and treatment to guide you into your new orthodontic transition. There are also newer treatments for teens and rapid movement aligner therapy.
The benefits of teeth straightening treatments
Teeth straightening treatments can transform how you perform dentistry. Once you are able to align teeth in a minor or even major fashion, the possibilities of great cosmetic dentistry are endless. Not only will you be able to better provide your patients with the best care possible, you can help your patients to improve:
- Confidence — Many patients feel an increased confidence after teeth straightening treatment.
- Esthetics — Teeth straightening treatments lead to improved dental esthetics.
- Dental function — Misaligned teeth can make eating difficult and even painful. Teeth straightening treatments can improve dental function by improving dental alignment.
- Dental hygiene — Crooked teeth can make properly cleaning teeth difficult. Teeth straightening treatments corrects overlapping teeth, allowing for easier cleaning.
General dentists have a world of opportunity open to them to improve their practices, change their approach to cosmetic dentistry and full-mouth reconstruction, and increase patient acceptance of further cosmetic treatment. You will find that once patients have had their teeth aligned, they will want more treatment. Patients will then ask you for more information about whitening, veneers, changing out older restorations to newer, more cosmetic ones, and they are more apt to tell others about the beautiful work they had done.
The key to utilizing the orthodontic treatments is to make a commitment to it. Take a training course, pump up your staff, and your patients will feel the excitement in the office for the great new treatments you are providing. There is never a better day to start achieving your goals than today. Remember, there is no need to be afraid of something new. There is excellent customer support available with most treatments. Your training will help you choose easier cases to start with, and your own level of interest and expertise will help you continue on your journey.











