The real question you should be asking about intraoral scanners
Dentistry has reached an inflection point at which the majority of intraoral scanners are now on a level playing field. So, how do you choose which one is best? Which scanner should you buy for your practice? Dr. Alec J. Ganci says, to begin with, these aren't the right types of questions. In fact, there's really just one question you need to ask.
SEE DIGITAL CASE AT END OF ARTICLE.
Editor's note: This article first appeared in DE's Breakthrough Clinical with Stacey Simmons, DDS. Find out more about the clinical specialties newsletter created just for dentists, and subscribe here.
Dentistry has reached an inflection point at which the majority of intraoral scanners are now on a level playing field. Like dental implants, EACH INTRAORAL SCANNER HAS ITS OWN FEATURE THAT MAKES IT UNIQUE. Unlike implants, DENTISTS CAN HIGHLIGHT THE DIFFERENCES IN INTRAORAL SCANNERS AS THEY INCORPORATE THEM INTO THEIR PRACTICES TO MAKE THE BIGGEST IMPROVEMENTS IN THEIR DAILY WORKFLOW.
For example, two general dentists who practice in offices next door to each other would probably choose different intraoral scanners based on their individual needs. In general, all scanners can be used to capture accurate digital impressions. One scanner, however, may be better suited for one who does more orthodontics versus one who does more surgery and implants versus another who focuses on restoring crowns, bridges, and implants, and still another who practices same-day dentistry—i.e., milling restorations in-office.
ALSO BY DR. GANCI |How to reliably bond zirconia
Usually, my friends and colleagues ask: What’s the best intraoral scanner? Which one should I buy? These aren’t the best questions to ask. The reason companies refer to intraoral scanners as “digital solutions” is because they’re used to solve problems existing within individual dental practices. The real question you should be asking is: What problem within my practice do I want to solve? The answer to this question will vary based on each individual doctor’s needs. From here we can decide which scanner—or which digital solution—makes the most sense to incorporate into that specific practice.
The same thought process applies when car shopping. Do you need a vehicle that’s luxurious or fast or seats seven people? Do you need one that is good in the snow? Do you need one that is fuel efficient or economically priced? What about one that is rugged or gives you street cred? Do you want a Prius or a Tesla? Or, do you want to be a stereotypical dentist who drives a Porsche? All of these vehicle options will get you from point A to point B, but how you get there will vary based on the road conditions and the specific benefits of each vehicle. Using this same approach when figuring out the best intraoral scanner for your office can be very helpful.
Will you mostly be doing full-mouth scans? Will you have an assistant, or will you be working alone? Depending upon your answer, you may want a scanner that’s more forgiving when it comes to isolation and easier to use without an assistant. Is the scanner worth the extra cost? What if you have associates? What if you have multiple offices? Is the scanner transportable? Is the system scalable? Is it an open system?
The topic of open versus closed systems used to be much more relevant, because closed systems were much more prevalent than they are today. Now, the majority of companies have caught up with the basic expectations of today's dentists, which has resulted in ecosystems that speak with one another. Sometimes, sending files from one company’s product to another’s can be a little contrived and require a few extra steps, but it is doable. Up until recently, this was unpredictable. Luckily, we’re now beyond this hurdle.
Unfortunately, there are still product limitations and unrealistic expectations. The digital knowledge level of some dentists is limited; we tend to trust what support staff tell us. However, relying solely on manufacturer claims can be problematic when companies overpromise and underdeliver.
Another hurdle is the US Food and Drug Administration (FDA), a unique challenge to American dentists and dental manufacturers. If an analog or digital component is not yet FDA-approved, it cannot be used. This isn’t an honor system situation; the software will not let you proceed with design and/or manufacturing. The FDA-approval process varies drastically and can take months or years. Therefore, if an intraoral scanning and/or milling system is not yet FDA-approved or is pending FDA approval, I'd recommend that you keep this in mind when making your decision to avoid spending a lot of money and being unable to achieve your goals.
Again, which intraoral scanner should you get? It depends on each dentist's individual needs and desires. Regardless, you should contact your local reps and have each company do a hands-on demo in your practice. That's the only way you can really get a feel for how a scanner may or may not fit into your daily practice routine. Going digital is exciting, but it’s also a big commitment of both time and money. You will want to invest some time and research beforehand. Don’t take my word for it or your friend’s or your colleague’s—try all of the options for yourself to avoid making expensive regrets. With that said, feel free to email me with any questions. I’d be happy to share my experiences with you so you won't make the same mistakes I did.
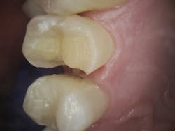
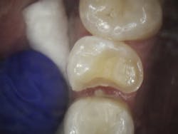
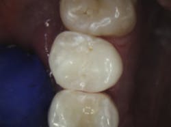
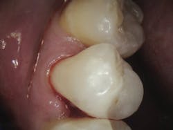
Digital case by Alec J. Ganci, DDS, FICOI
Lab: NYCDRS (New York Center for Digital Restorative Solutions) | Material: Cerasmart CAD/CAM block by GC America
Practice:Dental365 | Scanner: 3M True Definition
Editor's note: This article first appeared in DE's Breakthrough Clinical with Stacey Simmons, DDS. Find out more about the clinical specialties newsletter created just for dentists, and subscribe here.
For more articles about clinical dentistry, click here.
Alec J. Ganci, DDS, FICOI,is a chief dental officer at Dental365 (godental365.com), attended Stony Brook School of Dental Medicine, and completed an oral surgery externship in Madagascar. He continued his training as a resident at North Shore University Hospital, serving as chief resident, and completed a two-year fellowship in advanced prosthodontics and implant dentistry. He is an industry consultant and lectures extensively on various topics, including implants, dental materials, digital dentistry workflows, and esthetics. He can be reached at [email protected].















