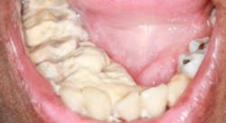
\QUESTION: Is there any CDT code that would apply for removing heavy tartar buildup prior to extractions, while knowing the teeth are to be extracted? I don't have a picture of my specific case, but I found one online that’s close. This photo is not an exaggeration of what I’m talking about.
ANSWER FROM PATTI DIGANGI, coauthor of the “DentalCodeology" series of books:
Yikes! I have to say, that’s pretty bad.
I’m sure many readers are thinking, “This is the D4355 full mouth and gross scale code.” However, that thinking is incorrect from a coding and periodontal science perspective. The D4355 updated in CDT 2018 brings greater clarity to when and how the code can be used.
Suggested changes to specific codes are brought before the Code Maintenance Committee (CMC) several times before changes are made. This was the case for D4355.
A couple of years ago, the CMC spent a great deal of time discussing the D4355 name and definition. The submission presented asked for the word preliminary to replace the word gross. The gross/fine theory of periodontal care has not been accurate for many years.
The evolution periodontal theory is shown in table 1.
Unfortunately, the CDT procedure code names and descriptions, as well as the thinking and understanding, can get stuck in a 1965-1975 periodontal philosophy of care. Though there was another long discussion,the CMC ultimately decided that changing this code would only confuse it more.
The good news is that the CMC has guidelines for resubmission of a request. For greater clarity, in CDT 2018, the D4355 nomenclature/name and description have been revised to read: D4355 full mouth debridement to enable a comprehensive oral evaluation and diagnosis on a subsequent visit.Full mouth debridement involves the preliminary removal of plaque and calculus that interferes with the ability of the dentist to perform a comprehensive oral evaluation. It is not to be completed on the same day as D0150, D0160, or D0180.
If the dentist just looked and determined only on a preliminary basis that the teeth would probably need to be extracted and no evaluation was completed, then D4355 would be the correct code.
It appears from your question that a diagnosis and treatment plan had already been made, meaning an evaluation had already been completed. The changes in the D4355 clearly show that D4355 cannot be used.
Yet, there is always a code. In every one of the 12 sections in CDT, there is a D_999, unspecified procedure, by report code. This means a narrative must be submitted.
A clear, concise narrative should: describe clinical condition of the oral cavity; give specific reasons why the procedure was needed or why extra time or material was needed; be short and concise enough to fit in Box 35 on the ADA claim form (think Twitter style); and include photos.
Photos are the best documentation for everyone—patient, practitioner, and benefit carrier. This is obvious with this case. There is no question that the photo clearly supports why the procedure was needed.
Editor's note: This content was originally published in 2019 and has been updated as of September 2025.
About the Author
Team Troubleshooter
This column features questions from everyday people who work in dental practices, who have issues they would like addressed by the experts. It no longer runs regularly, but the questions sent in the past still apply to dental practices today. Search "Troubleshooter" on DentistryIQ to read more.



