How to treat dental patients who don't know they have occlusal instability
A patient (we'll call him Darren) was referred to me by another local dentist. The referring dentist shared with me that Darren’s case was too complex for him; he was unsure about how to treat the patient's problems. The dentist was worried that if he didn’t restore the patient's teeth correctly, he would not receive the expected longevity from the restorations.
As a dentist who has gone through The Dawson Academy’s curriculum, I have built a reputation in my area for treating complex cases. But there are added challenges when the patient doesn’t know how difficult his or her case actually is.
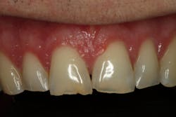
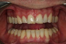
Darren had a lengthy dental history, but the chipping of his maxillary anterior teeth was his chief complaint. His main goal was to keep his teeth for as long as possible, and he was willing to do whatever it took to achieve that goal.
Like his referring dentist, Darren knew something was wrong, but he didn’t know the extent of the issues involved. Up to this point, Darren had not been informed of any functional or occlusal problems. This is where we started down the road of codiscovery and cotreatment planning.
Examining the patient’s history
As soon as I accepted the case, Darren came to my office for a complete new-patient exam. In my practice, new-patient exams consist of the following:
- Obtaining the patient’s medical history, dental history, and functional or esthetic goals through a preclinical interview
- Identifying any bacterial risks or pathology through appropriate radiographs, restorative charting, periodontal exam, and oral cancer screening
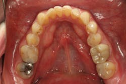
- Evaluating any functional disharmony in the masticatory system by examination of the temporomandibular joint, muscles of mastication, and dentition. Charting includes range of motion, centric relation load test, TMJ Doppler Auscultation, muscle palpation, excursive interferences, first point of contact in centric relation, extent of CR/MI slide (centric relation to maximum intercuspation discrepancy), and an evaluation of dentition for wear, mobility, and migration.
- Diagnosing and addressing potential airway issues
From the preclinical interview, we learned that Darren had completed orthodontics only on his maxillary arch in high school to “correct his overbite,” and the majority of the crowns that had been fabricated to date were from previous tooth fractures. He reported having headaches two or three times a month, and stated he often found himself playing with his teeth and clenching throughout the day, especially when stressed.
After assessing the results from the complete exam, we obtained complete records, including facebow-mounted models and a complete photo series. We started developing a treatment plan with Darren’s time and financial constraints in mind. This began with a two-dimensional workup to evaluate Darren’s occlusal stability, global esthetics, and macro esthetics.
Summary of results and treatment planning
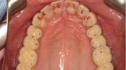
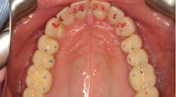
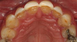
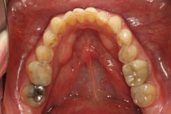
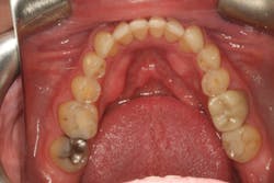
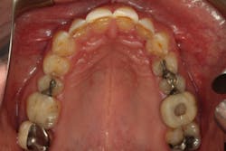
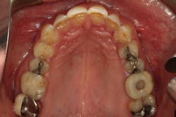
From the two-dimensional evaluation, the signs of occlusal instability were clear. Darren had very thin, chipping incisal edges, to the point where they were becoming transparent. The patient had almost worn shelves into the lingual of the maxillary anteriors, suggesting a restricted envelope of function. He also had wear into dentin in the anterior teeth as well as posterior teeth, and his anterior teeth had Class 1 mobility.
In addition, Darren failed The Dawson Academy’s five requirements of occlusal stability:
- Stable and equal intensity stops on all teeth in centric relation
- Anterior guidance in harmony with the envelope of function
- All posterior teeth disclude during mandibular protrusive movement
- All posterior teeth disclude on the nonworking side during mandibular lateral movement
- All posterior teeth disclude on the working side during mandibular lateral movement
Luckily, the patient was a Piper TMJ Classification 1 with healthy intact joint assembly. His functional problems were primarily occlusal-muscle. But the dentition also exhibited signs of acid corrosion in a presentation that suggested gastroesophageal reflux disease (GERD), so we referred Darren to his physician where he was treated for GERD prior to starting any dental treatment.
Esthetically, his maxillary incisal edges were slightly deficient vertically and needed to be lengthened, his length-to-width ratios needed to be improved, and his gingival contours were imbalanced. Darren had a slight cant with his occlusal plane, but he was not interested in correcting it. The mandibular incisal plane and arch form also required improvement. He was adamant that he wanted any esthetic changes to look natural and did not want “bright white” teeth.
Our two-dimensional evaluation allowed us to create our three-dimensional treatment plan with a diagnostic wax-up on mounted models. After reviewing all findings, Darren was brought in for a treatment planning consultation.
We used photos and models to review our findings with Darren and compare his condition to what is considered normal. It is important that the patient be involved in the discussion of all possible treatment plans, along with the timing and financial investment of all treatment recommendations. At this point, patients must be ready to accept and own their dental problems before they’re able to receive comprehensive treatment.
Implementing the treatment plan
Our goal should always be to perform the least amount of dentistry needed to achieve the best possible functional results and satisfy the patient’s goals. Darren wasn’t interested in traditional orthodontics, so we elected to start with clear aligner therapy to increase the freedom in his envelope of function and improve the anterior occlusal relationship.
Orthodontics also allowed us to be more conservative in our tooth preparation. We wanted to minimize the amount of tooth structure that we had to reduce on the lingual of the maxillary incisors, since we were already missing a good amount of tooth structure from wear. Orthodontics also allowed the possibility to avoid any preparation or indirect restorations on the mandibular anterior teeth that otherwise would have been required to work out the anterior guidance. Darren was aware that we would need to make that final determination once the orthodontics treatment was completed.
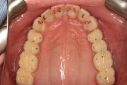
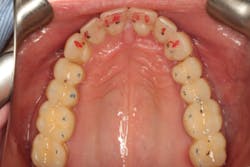
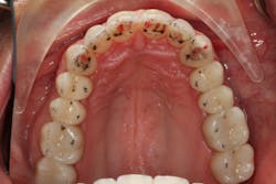
Following the orthodontics, we prepared the maxillary arch for indirect restorations and placed Darren in temporary restorations. We also restored the mandibular incisal edges with direct composites to seal any exposed dentin and refine the incisal plane using a thermoplastic stent fabricated from our diagnostic wax-up. Utilizing a stent to place the direct composites on the incisal edges saved time, and we were able to obtain greater precision in the incisal edge position. Darren was then sent to the periodontist to have the gingival architecture corrected.
Darren remained in the provisionals for three months to allow the soft tissue to fully heal. This also allowed us to evaluate the esthetics, phonetics, occlusion, and function. The importance of provisional restorations cannot be understated, as they provide us with a trial before we place the definitive restorations.
The provisionals were especially important in this case as we had to work out the anterior guidance to be in harmony with the patient's envelope of function. When the provisional restorations were initially placed, Darren continued to feel “locked in” with the position and contours of his canines. Over several appointments, we had to slightly adjust his guidance until he was comfortable while still retaining the function and esthetics.
Finalizing a case, conservatively
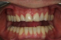
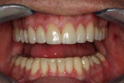
Once we had confirmed the esthetics, phonetics, and function, we were ready to move forward with the definitive restorations. Photographs and impressions of the approved provisional restorations were given to the laboratory so the esthetics and occlusion that we worked out in the provisional phase could be duplicated and the information transferred to Darren’s final restorations.
The delivery of our final restorations should be the easiest part of the treatment. By the time the delivery date arrives, we have already diagnosed and treated any functional issues as well as tested our treatment plan in the provisionals. As long as the laboratory has copied our blueprint, this should be a stress-free appointment, and we should be confident in the restorations that we’re delivering.
One of our goals was to avoid preparing the mandibular anterior teeth and still achieve proper anterior guidance. Fortunately, the orthodontics combined with direct bonding provided a more-than-adequate result, so we were able to forego any restoration on the mandibular arch at this time. Again, our goal is always to do the least amount of dentistry to obtain the best possible results. Sometimes, providing comprehensive dentistry still involves a significant amount of treatment, but it’s important to challenge ourselves to remain conservative and preserve as much tooth structure as possible.
Conclusion
Following The Dawson Academy’s treatment planning protocol, each case is completed four times: first in our minds, second in wax on our models, third in provisionals, and finally in porcelain. This process allows us to carry consistency from our two- and three-dimensional evaluations, to the laboratory diagnostic wax-up, to the provisionals, and finally to the definitive restorations.
This process not only simplifies complex cases, but it also eliminates errors and increases predictability of the treatment. Furthermore, it allows patients like Darren to follow the diagnostic and treatment process, understand their dental needs, and feel like they are in control of their treatment.
Through working with Darren, we were able to provide the necessary treatment to obtain the five requirements of occlusal stability. He now has stable stops on all teeth, anterior guidance in harmony with the envelope of function, anterior teeth that provide immediate posterior disclusion in protrusive, and he no longer has working and balancing side excursive interferences.
Editor's note: This article was originally published in 2018 and has been updated as of October 2025.










