Teeth, BMWs, and used Ford Fiestas
APPLE CORE, GROSS GENERALIZED CARIES. Doesn’t brush his teeth—at all. Finances are limited. He wants the BMW but can only afford the used Ford Fiesta. We’ve all been there. Now what?
A 55-year-old male presents to the office for a complete exam. He takes a blood pressure medication, and 20 years ago he had a benign tumor removed from his right submandibular gland (no long-term complications). He has a tooth that’s bothering him (points to No. 11) and wants a complete checkup.
Par for the course introduction.
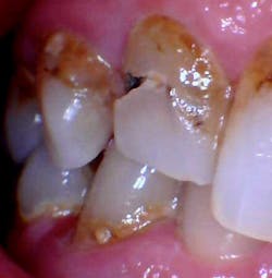
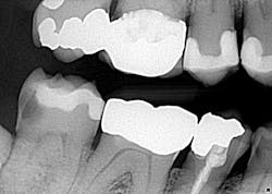
His situation was more involved than anticipated (figures 1–3), which, to address properly, would more or less require a full mouth of crowns, scaling and root planing, and a 360-degree turnaround of his oral health home-care management.
After taking in all the data, I sat the patient up and asked him what his goals were, to which he responded that he wanted to get his teeth fixed. Without being specific, I summarized his situation so I could get a feel for his time, finances, and overall commitment to changing his current status quo. Time was limited; he’s a caregiver for his quadriplegic wife. Finances were limited; we all have budgets to work with. His motivation to change his brushing and home-care habits—zero. All righty then.
I asked him if he would be open to partial dentures, dentures, etc., to which he replied without hesitation, “No!” OoooK. I had my staff set him up for a consultation appointment to go over the specifics, as it was very clear that a challenging and point-blank discussion needed to be had.
Unrealistic expectations. That pretty much sums it up. So, how did this play out? Some of you newbie dentists would spend hours going over a treatment plan with this patient. On the flip side, for you veterans out there, your treatment plan would take less than five minutes to devise.
Let’s boil it all down...
1. The patient’s home care sucks. There is no graceful way to put it. Plaque is everywhere, and he has zero motivation to change that. Him citing that work and home commitments don’t afford him time to brush his teeth are points I’m not going to argue. Do I believe him? No, because everyone has the same amount of time in each day, and taking a few minutes to care for your teeth is an investment that only he can put a value on. Furthermore, if his lifestyle and home-care commitments don’t change and he could buy the BMW, he would be right back where he started in a short matter of time.
2. The patient has HUGE apple core cavities, large existing fillings with caries, and they all need crowns to restore. I’m more or less at a point in my career when I just don’t do BAFs (big-ass fillings) anymore, and if I do, it’s on a very rare occasion. Why? Because there are limitations to our restorative materials (and my patience!), and if I’m spending 30 minutes trying to get a seal on a resin that wraps around a tooth in 10 different directions, it’s not worth my time and headache. I don’t like putting myself or my patients in a situation where they have to come back again and again for the same thing. They are spending their money two to three times over for restorative work, even if it’s for something to “get them by.” Tough love? Perhaps, but I’m calling the shots here, not the patient.
3. The patient’s unrealistic expectations need to be quashed, and there needs to be a compromise somewhere in this equation. The patient’s current situation did not occur overnight. He wants to keep his teeth, but unless proper restorations are placed and home-care changes, he will lose them all—regardless. Perhaps placing a few crowns and doing partials are realistic treatment options, but if he isn’t willing to have that conversation about changing his home care, we have stopped even before we hit go.
What will likely end up happening? Habits are hard to break, especially ones that have been a lifetime in the making. As much as I will try not to overwhelm the patient, it will happen. Perio, fixed, home-care education, finances, time, etc. He needs to want to invest in his oral wellness.
Sometimes, patients don’t worry in the least about what’s not bothering them because their focus is on one particular tooth. No matter what is said to them about anything else, they have tunnel vision and hearing for their chief complaint. As a result, we oftentimes put out many little fires over the course of a long period of time. Right or wrong, it’s what ends up happening.
Are all of the patient’s teeth savable? Absolutely. Does that mean we can save them? No. Does everyone want the BMW? Yes. Does everyone get the BMW? No. We do what we can to the best of our abilities according to the criteria discussed and agreed upon prior to beginning any treatment. There is no right or wrong in scenarios like this; it’s what the patient is willing to do from a time, financial, and motivational commitment to meet those end goals.
What’s my take-home point? What patients want isn’t always what they are able to get—especially if it is a result of their own doing. At some point, ownership must be taken as inherent consequences with subsequent limitations are inevitable. The value patients place on their teeth and overall oral health does and will dictate an eventual outcome.
Cheers!
Stacey
Editorial Director, Breakthrough Clinical
LAST MONTH >> Diamonds may last forever, but those fillings won’t
Read more clinical dentistry articles at this link.
Editor's note: This article originally appeared in Breakthrough Clinical, a clinical specialties newsletter from Dental Economics and DentistryIQ.
About the Author
Stacey L. Gividen, DDS
Stacey L. Gividen, DDS, a graduate of Marquette University School of Dentistry, is in private practice in Montana. She is a guest lecturer at the University of Montana in the Anatomy and Physiology Department. Dr. Gividen has contributed to DentistryIQ, Perio-Implant Advisory, and Dental Economics. You may contact her at [email protected].





