Braces: the good, the bad, and the ugly
I have delivered this kind of news before. It is not fun. I do not do orthodontics in my practice, but I have many patients who benefit from this service. Treating this group of individuals is truly a team effort. As a general dentist, I am going to share my thoughts on the aforementioned and with patients who have or will commence with orthodontic treatment.
ALSO BY DR. STACEY SIMMONS |Watch, fill, or crown? How you can involve your patients in the dental treatment planning process
On average a patient is in braces for 18 months to two years. A checkup and exam are required (hopefully) prior to braces being placed. Following placement of the appliance, the orthodontist sees the patient every four to six weeks and should stress the importance of general checkups with a general dentist. However, what often happens is the patient assumes that since he or she is being seen so often by the orthodontist (who by all accounts is a dentist), all is well on the cavity front. It should be made very clear, however, to the patient from the outset that the general dentist will make the cavity and periodontal assessment.
ADDITIONAL READING |Motivating teens to better oral care through the use of dental technology
It is no secret that it is difficult to maintain good home care with braces. Teenagers are notorious for their lack of commitment to home care in general. Add braces to the equation and we have a situation that can be detrimental to the orthodontic outcome. It is vital that at the recare exams the patient spend adequate time with the hygienist and do the following:
- Disclose the areas of plaque. This simple procedure is very helpful to patients so they can actually see where the plaque is. We often sound like a broken record telling patients that they have a lot of plaque on their teeth. Instead, let’s show them where it is! Disclosing plaque also allows for a self-appraisal of how they are doing at home.
- Recommend home-care aids and demonstrate their use and application.
- Review proper brushing and flossing methods and then have the patient demonstrate his or her understanding of the technique. I would furthermore recommend the use of an electric toothbrush. This can be especially beneficial for the posterior and hard-to-access areas.
- If not done so by the orthodontist, incorporate the use of fluoride into the home care routine.
- Colgate offers several products that can be dispensed at the office — Colgate® Phos-Flur® Rinse, Colgate® PreviDent® 5000 Plus Toothpaste, and Colgate® Periogard® Rinse for the gingiva. Instead of going to the pharmacy, the patient can simply purchase these when he or she leaves the office.
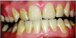
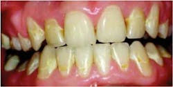
The communication bridge between the general dentist and the orthodontist must be present and open. If the home care is deficient to the point that the health of the teeth are in jeopardy, then there should be discussion to remove the appliance until the commitment to home care is evident. In my practice, I have requested the removal of orthodontic appliances on patients because of what I see — decalcification rings around brackets, plaque that is thick and mature, X-rays that reveal the start of several incipient lesions, and red, bulbous tissues and gums that bleed even with the slightest touch.
Asking the orthodontist to remove brackets can be a sensitive subject because often the patient and responsible party (if applicable) feel that their time and financial commitment will be lost. Education and compassionate reassurance from both dental providers will bring to light an understanding of why the recommendation for removal is in place. The patient can be placed on a three-month recall and when it is apparent there is improvement with home care, treatment can be initiated once again.
General dentists and orthodontists must work together for the benefit of the patient. Simple protocols need to be established and followed so the benefit of orthodontics can be a positive and rewarding experience from start to finish.
SOURCES
2. Dr. Bryon Viechnicki. http://www.viechnicki.com



