Which dental implant is it? This one or that one?
When Breakthrough Clinical's Editorial Director, Stacey Simmons, DDS, is met with a challenge, she consults whatimplantisthis.com for the first time at the recommendation of colleagues. She speaks to the website's creators and gains insider tips about this popular resource tool for the identification of dental implants.
Editor's note: This article first appeared in DE's Breakthrough Clinical with Stacey Simmons, DDS. Find out more about it and subscribe here.
A PATIENT WHO RECENTLY MOVED TO THE AREA came in for a comprehensive exam and assessment. He had a lower fixed hybrid prosthesis put in more than five years ago that needed removal badly due to the amount of debris, plaque, and tartar that had accumulated underneath it (figure 1). Unfortunately, right away, there were two issues that challenged what normally would have been a straightforward removal:
Figure 1
- The dental office where the patient had the prosthesis placed was destroyed in a fire, and all patient records were lost. The dentist who purchased the practice had no idea who the oral surgeon was and no knowledge as to the type of implant system that had been used.
- The patient was experiencing the beginning stages of Alzheimer’s and couldn't remember anything with regard to doctors, locations, etc. Furthermore, he could not remember whether the prosthesis had ever been removed. Family members could only tell us about the patient's most recent dentist.
If you’re like me, there is no way I’m going to do anything to a dental implant—especially if it isn't my own—without the proper parts and pieces needed to facilitate a positive end result. Cutting off implants, retrieving broken or stripped screws, or anything of the like is not something you want to engage in without a game plan ... plain and simple. So, what could I do? My hygienist was itching to get in there and attack the plaque!
With pan in hand, I reached out to my colleagues on social media (Dental Hacks Nation) and asked if anyone could identify the implant system that was in place. Several people suggested that I go to a website called “What implant is that?” The name piqued my curiosity, so that’s exactly what I did.
whatimplantisthat?
I typed in www.whatimplantisthat.com and was met with a page full of radiographic photos of implants—900-plus of them (figure 2). Wowza. I didn’t realize the full extent of the variety of implants out there. This, in and of itself, is fantastic. To begin your search, on the left side of the website, there is a list of filters that make the magic happen. What's even cooler is, if you can't figure it out on your own or are unsure of your diagnosis, you can pay to have someone help you.
Figure 2
Because I am naturally curious, I wondered about the genesis for this website. It has a tremendous wealth of information, and clearly a lot of thought and effort was put into it. Where did the idea come from, and can one really identify 900-plus implants just from a single radiograph? Apparently so. According to the website's creators, you just have to know what to look for. Details, baby, details!
Two classmates, a list on an Excel spreadsheet, and a big idea
Nate Farley, DDS, and Kent Howell, DMD, are both prosthodontists with private practices of their own—Dr. Farley in La Crosse, Wisconsin, and Dr. Howell in Mesa, Arizona. Their story began when they were classmates in the prosthodontics program in Ohio. While there, they had access to an Excel spreadsheet that more or less listed a handful of common implants with key identifying components. That list was used all the time. The question begged answering: Why not build upon this idea, make it bigger and better, and put that bigger and better list on a website for dentists and other colleagues to utilize?
Dr. Farley, a self-proclaimed computer guru and not one to back down from a challenge, began designing the website while Dr. Howell began the acquisition and organization of information from dental implant companies. As things progressed and momentum for the idea grew via conferences and word of mouth, the website became what we now have—an absolutely tremendous resource for all of us. And guess what? It’s free. All you need is a little bit of time, some patience, and a good eye.
How it all works and some insider tips
So, how does this website work? And how can one use it to its maximum potential? When I first started the identification process, I thought I could just jump right in and have my answer in minutes. Ha ha! Truthfully, I didn’t know how to answer all of the filters, and I got stuck (figure 3). I felt a little inadequate and slightly frustrated. Eventually, however, I worked through it and learned from Dr. Farley that there are some key things to look for and assess in order to be successful with the process of elimination.
Insider tips to make implant identification more accurate and successful on whatimplantisthat.com:
- Most people look at things differently, so it is important to find a common denominator and build on that.
- Filter out only the right answers. Basically, only select something if you are 90% or more sure. If you are wrong, you would be filtering out the right answer.
- Just by selecting some of the filters, you can get pretty close to the correct implant. At that point, you have to look closely at every feature between your implant and the one it could potentially be. Noticing details is a must.
- Some features are easier to distinguish than others: for example, threads versus no threads. However, if you take it a step further and are asked about the shape of the threads, that can be a little bit more difficult to distinguish.
- To better characterize implants, the website offers some very informative comparisons that are broken down by sections. Learn the differences between these, and you’ve got it made:
1. Coronal—abutment interface, flange, and collar (figure 4)
Figure 4
2. Mid-body—implant taper, implant threads, thread type, mid-body grooves (figure 5)
3. Apical—apex shape, open apex, round hole, apical chamber, apical grooves (figure 6)
Figure 6
- According to Dr. Howell, if there is one thing that can help you the most to identify an implant, it’s to look at the apex.
In a perfect world, records wouldn’t be destroyed by fire or other disasters, patients would remember all of their medical history and dental providers, and, just to keep it simple, there would be only three different kinds of implants to work with (if we were keeping it simple, right?!). But since that's not the case, it’s nice to know that there isn’t a dead end to what would otherwise be a game changer in dental treatment planning and patient care.
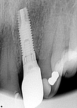
What implant is this?
So, here’s my challenge to you: Can you identify this implant (figure 7)?
Drop me an email at [email protected]!
Editor's note: This article first appeared in DE's Breakthrough Clinical with Stacey Simmons, DDS. Find out more about it and subscribe here.
For more articles about clinical dentistry, click here.
For the most current dental headlines, click here.
About the Author
Stacey L. Simmons, DDS
Editorial Director of DE's Breakthrough Clinical e-newsletter
Dr. Stacey Simmons grew up in Hamilton, Montana. She did part of her undergraduate work at Purdue University and then received her bachelor’s degree in exercise physiology from the University of Utah. After applying to both medical and dental school, she decided that dentistry was her career of choice. She received her DDS degree from Marquette University School of Dentistry in Milwaukee, Wisconsin, in 2004. In private practice, she focuses her care on prosthodontics and cosmetic dentistry. She is a guest lecturer in the Anatomy and Physiology Department at the University of Montana. Outside the office, she trains for triathlons and spends time with her family. You may contact Dr. Simmons by email at [email protected].
In 2015, Dr. Simmons became the editorial director of DE's Breakthrough Clinical with Stacey Simmons, DDS, an e-newsletter focused on breaking through plateaus in clinical practice. Subscription information may be found here.
Updated May 4, 2016








