A revolution is underway as dental professionals integrate advanced digital technologies into their practices, transforming patient care, diagnostics, treatment planning, and office management. Digital case planning, artificial intelligence (AI) models, and digital radiographic imaging provide greater accuracy and predictive capabilities, while intraoral 3D scanning and 3D printing are changing the future of tooth restoration.
Integrating digital tools for clinical applications
According to Precedence Research, in 2024, the global digital dentistry market size was $6 billion; in 2023, the North American digital dentistry market size was $2.45 billion. By 2034, the global market is expected to be approximately $19.66 billion.1 That’s not surprising because digital dentistry makes treatment and outcomes more efficient, predictable, and cost-effective due to its ability to gather, process, and produce data.
Digital dentistry makes treatment and outcomes more efficient, predictable, and cost-effective due to its ability to gather, process, and produce data.
Data can be gathered via 2D radiographs, 3D cone beam computed tomography (CBCT), intraoral and extraoral scans, and photogrammetry to capture accurate data. Precise treatment plans are created by aligning, superimposing, and capturing all the data with digital software programs such as exocad.
These tools are particularly useful when planning everything from surgical implant placements to full-mouth reconstructions. With digital planning, it’s possible to predict potential complications and be prepared for any issue that might arise during surgery.
Another benefit to embracing these digital tools is faster turnaround times,2 because data can now be sent directly to the lab for restorations of crowns, bridges, inlays, onlays, and dentures. This bypasses the extensive time required to make and ship the models.
In addition, simple restorations, such as single crowns and night guards, can now take advantage of AI. After AI is used to design restorations, they can be printed or milled in a dentist’s office, reducing turnaround time to a few hours instead of days or weeks. This capability is due to recent advancements in 3D printing resin materials that allow these restorations (crowns, inlays, outlays, etc.) to be on par with their enamel counterparts.
In a January 2025 article in 3DPrint.com, Dr. George Freedman, dental surgeon and regent director at the International Academy for Dental Facial Esthetics (IADFE) and professor of dental medicine at Western University in California, stated, “In the current environment of digitization and automation, additive manufacturing not only delivers higher quality and more customized dental treatment but accomplishes this at a significantly lower cost to the dentist.”3 Freedman noted that these tools offer cost-effective outcomes for dentists and patients. They allow for easy communication among dentists. For example, if a patient requires an interdisciplinary approach to treatment, digital records can be shared with other dentists and lab technicians, and the cases can be planned in real time, enabling dentists to help patients promptly.
The tools are also educational, which makes it easier for patients to see outcomes and decide whether to undergo treatment. For example, myriad smile design software programs can capture data from intra- and extraoral scans so that the photographs can be merged and the outcome can be shown to the patient.4
Determining the right tools
It is crucial for dentists to invest in some of these digital dental tools that are now available. Unfortunately, they are not inexpensive. As such, determining which tools to purchase requires closely examining a practice’s focus. For basic treatments such as crowns, bridges, and fillings, which comprise most general dentistry practices, it’s essential to have an intraoral scanner to take digital impressions. Practices that do basic implant surgeries would benefit from a 3D scanner such as a CBCT. Those doing extensive implant surgeries who want to print their prosthesis in-office will be well served by purchasing a 3D printer, which can print a mixture of ceramic and resin crowns and bridges that can last long-term.
Preparing for the future
Digital dentistry tools will only continue to grow, including internal and external scanners and the advent of robotic surgery for placing implants. Yomi, a dental robotic arm, already uses data from CBCT scans to create physical cues for surgeons.5
The incorporation of AI is a significant innovation in the digital dentistry landscape, particularly related to diagnoses. In the last few years, AI software was developed that allows x-rays to highlight via coloring where a defect, such as a cavity, is located, in addition to whether there is bone loss around the tooth. These things cannot be seen with the naked eye.
In a recent white paper released by the American Dental Association, Dr. Manny Chopra, chair of the ADA Council on Dental Practice, highlighted how AI in digital dentistry can improve patient care. He stated, “By integrating AI and augmented intelligence, dental practices can provide precise diagnoses, personalized treatments, and enhanced patient experiences. Currently, the use of AI and augmented intelligence in dentistry is steadily advancing and showing promising potential.”6
With the rise in enhanced digital tools and better outcomes, digital dentistry is a boon for practitioners and patients. While it’s vital for those in the industry to invest in these cutting-edge tools, it’s also critical for dentists to incorporate training into their practices. Thankfully, many digital dental software companies have training models for everyone, from dental assistants and up, and constantly renew their courses as they update their software. If dentists continue to take online or in-person classes and attend conferences that discuss recent advances and offer training sessions, they will be equipped to embrace the future of digital dentistry.
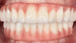
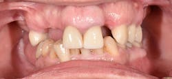
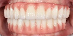
Following are before-and-after images of All-on-X procedure, including extraction of all upper and lower jaw teeth and replacement with a full mouth of implants and a fixed prosthesis. Procedure performed by Dr. Aditya Bhawsar. Images courtesy of Dr. Bhawsar and Lifetime Dental & Implant Center.
References
- Digital dentistry market size, share, and trends 2024 to 2034. Precedence Research. September 20, 2024. https://www.precedenceresearch.com/digital-dentistry-market
- Gawali N, Shah PP, Gowdar IM, Bhavsar KA, Giri D, Laddha R. The evolution of digital dentistry: a comprehensive review. Journal of Pharmacy & BioAllied Sciences. 2024;16(Suppl 3):S1920-S1922. doi:4103/jpbs.jpbs_11_24
- Listek V. 3D printing and dentistry: 2024’s progress, 2025’s promise. 3DPrint.com. January 3, 2025. https://3dprint.com/315397/3d-printing-and-dentistry-2024s-progress-2025s-promise/
- Buduru S, Cofar F, Mesaros A, et al. Perceptions in digital smile design: assessing laypeople and dental professionals’ preferences using an artificial-intelligence-based application. Dent J. 2024;12(4):104. doi:3390/dj12040104
- Your clinical expertise + our game-changing technology. Yomi by Neocis. https://www.neocis.com/products-and-services/yomi-robot/
- Dentistry — overview of artificial and augmented intelligence uses in dentistry. American Dental Association SCDI white paper no. 1106. December 30, 2022. https://www.ada.org/-/media/project/ada-organization/ada/ada-org/files/resources/practice/dental-standards/ada_1106_2022.pdf
About the Author

Aditya Bhawsar, BDS, MDS
Aditya Bhawsar, BDS, MDS, associate fellow of the American Academy of Implant Dentistry, is an associate dentist at Lifetime Dental & Implant Center in Katy, Texas, and A Dental Care in Houston, Texas. He specializes in the management of multidisciplinary complex cases. He holds a certificate in prosthodontics, a master’s in dental science from Rutgers School of Dental Medicine in New Jersey, and a fellowship in implant dentistry from the Loma Linda School of Dentistry in California. Connect with Dr. Bhawsar on LinkedIn.





