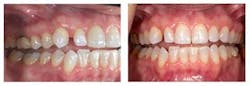
Conventional orthodontics vs. Invisalign
OK, I’m starting with the disclaimer that I know next to nothing about orthodontics, other than I would rather have my orthodontist move teeth for my patients than subject them to unnecessary tooth preparation whenever possible. The above photos are of a patient I am currently seeing who has agreed to comprehensive orthodontic treatment. She is very resistant to conventional appliances and is interested in Invisalign.ADDITIONAL READING |Orthodontics case study: treat 'the face' not 'the teeth' The goals orthodontically are to rotate the canines in the upper arch, distribute the spaces in order to slightly widen the laterals, and to reduce the crowding and align the canine in the lower arch. My orthodontist, Dr. Cheryl DeWood, is extremely competent with both traditonal and Insivalign appliances so this is not an issue.Here are the clinical realities ...Reprinted with permission from Spear Education.ADDITIONAL READING |Braces: the good, the bad, and the ugly


