A quick fix as a first step
Bridget Mackey, DDS, shares a case study about a same-day restoration she completed for a patient who wanted a "quick fix" as the first phase of a full functional and cosmetic workup.
While most of us would love to provide ideal esthetics for every case, it's not always feasible or necessary for various reasons. The patient’s time constraints, financial limitations, or presentation in emergency situations are all factors that may not allow for optimal treatment or justify the use of our most expensive materials. But when a systematic restorative approach is taken, a compromised clinical situation can be made predictable and efficient—and let’s face it, more enjoyable!
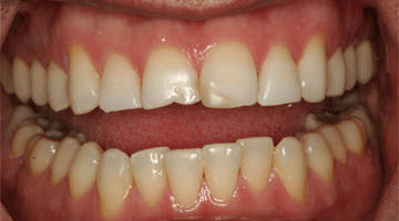
A 35-year-old male presented as a new patient with a composite fracture on No. 8 (figures 1 and 2). He reported a sports injury during childhood, at which time Nos. 8 and 9 were repaired with composite. Several years ago, he broke a previously placed composite on No. 8 with a fork while he was eating. While he expressed interest in eventually having a full functional and cosmetic workup, what he really wanted more than anything was to have No. 8 repaired the same day. Why so suddenly? He had a new girlfriend! Believe it or not, No. 9 was not as much of a concern for the patient . . . yet.
Both our schedule and his allowed time for treatment on the same day, so we were able to meet his request to repair No. 8. The short-term plan was to make our new patient happy: We would perform a single-tooth repair with one shade of material and one tint, which is less expensive for both the patient and dentist and can be done efficiently in one appointment. The long-term plan was mounted diagnostic models and a multitooth waxup, and composite veneers for Nos. 7–10 or 6–11 with layered composite shades and translucencies. The final treatment would allow for better overall smile design, proportioning, and consideration of occlusion. Ultimately, the patient wanted this level of treatment, just not on the same day.
Here's a good practice-builder tip: I learned in Dr. Frank Spear’s "The Art of Treatment Planning and Case Presentation" seminar that patients can become disappointed when their actual experience differs from what they expect to experience. This patient expected his tooth to be fixed. As long as he and I had a clear understanding (and signed consent) that this was only the first phase of overall treatment, providing a repair to this tooth on the day of his initial visit was a win-win.
A maxillary alginate was made and poured up in fast-set stone while the patient’s prophy was being completed, and a waxup of the tooth was completed on the model (figure 3). I find it very handy to have an in-house waxer, and the one I use (Vector "Sensor-Touch" Programmable Waxer, Great Lakes Orthodontics Ltd.) works well in my hands. Alternatively, we could have done an intraoral composite mockup and made a matrix intraorally, but I prefer to have a model on record whenever possible, so I chose to take an impression instead. By the time the patient was ready for us, we had a waxup and Sil-Tech Putty (Ivoclar Vivadent Inc.) ready to go. The putty was trimmed to provide a lingual-wall and incisal-edge reference for the direct composite restoration (figure 3).
Estelite Sigma Quick in shade A1 (Tokuyama Dental Corp.) was chosen and used throughout. One advantage I find with this composite is its extended working time of 90 seconds. It doesn’t slump while I’m working, which reduces my stress level greatly. After years of using it in the posterior and anterior, I only recently learned why it also has such a great chameleon effect with adjacent teeth: It is filled with spherical nanoparticles, which diffuse light more gently, thereby creating a better blend to the surrounding teeth. These spherical particles also allow for an amazing finish, considering that this is a universal composite. This was the perfect choice for my single-tooth quick fix.
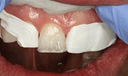
Although we were working with only one shade, the same general process was followed as if we were working with multiple enamel- and dentin-layering shades and tints. A light, long enamel bevel preparation was made on the facial to increase the surface area for retention and allow better blending of the composite-enamel margin. The putty matrix was used to create the lingual wall (figure 4). Once this was cured, a “dentin” layer of Estelite Sigma Quick was packed against it.
White tint (Kolor + Plus, Kerr Restoratives) was applied very lightly to break up the monochromaticity and lower value that can occur when just one shade and translucency are used (figure 5). Applying the stain at this point ensures that it will not be removed during finishing and polishing. It’s a lot of fun to watch the added brightness come through as you go through the final steps later. It doesn’t impart as much value to the restoration as a multilayered composite using enamel, milky white, dentin and opalescent shades, and varying tints would; however, it can be a pretty good substitute when you're limited by the patient's time or finances.
An “enamel” layer was placed over this with more of the Estelite Sigma Quick, creating a general outline for the final contours (figures 6 and 7). The composite was contoured with a combination of discs and burs. A nice result can be achieved very efficiently by using the black, purple, green, and red polishing discs from the Super-Snap Rainbow Technique Kit (Shofu Dental Corp.). To achieve the best polish, use these in order and don't skip a disc. This too is a fun part—watching your restoration reflect light more and more as you move through the discs. You’ll really get a nice polish (figures 8 and 9).
I like to view this kind of situation as an opportunity. We gave a new patient exactly what he wanted: a quick fix as a first step, a same-day restoration as the start to a full functional and cosmetic workup. In addition, this first step allowed me to test his occlusion, so we knew the new tooth dimensions would be functionally stable. Achieving optimal esthetics is a process that involves diagnostic models, photos, planning, mockups, increased chairside time, a greater array of materials, and in his case, more teeth and a higher cost. However, we certainly improved things for him in the meantime. We were able to give him confidence in our ability to meet and exceed his expectations, and he left our office happy. The first question he asked when we were done was, "When can I come back to start the rest?"
Editor's Note: This article first appeared in Pearls for Your Practice: The Product Navigator.Click here to subscribe. Click here to submit a products article for consideration.







