The 3 modes of a universal adhesive: Part II -- total-etch
The simple appeal of a universal adhesive is that it can help dentists streamline their tools and their stockrooms, eliminating material waste and the headaches of learning multiple techniques for multiple adhesives. Scotchbond Universal Adhesive provides a strong example of the level of simplification that can be achieved with a universal adhesive. Not only is it suitable for self-etch, total-etch, or selective-etch cases, but it can also be used to bond to indirect surfaces without an additional primer. The cases shown in this series each illustrate the adhesive being used in a direct technique, but dentists should also consider their additional bonding needs when selecting a product, keeping in mind that for many of us, fewer materials can result in greater efficiency.
Case selection for total-etch mode
Many of us have been taught that our selection of adhesive mode should depend on whether our prep is predominantly in dentin or enamel. The case shown here is a clear instance where total-etching is called for, with almost the entire prep in enamel. We know that the use of phosphoric acid creates the best etch patterns on enamel and the most reliable bonds, due to the resin tags formed by the penetration of the adhesive into the demineralized surface of the etched enamel.
Case presentation
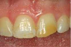
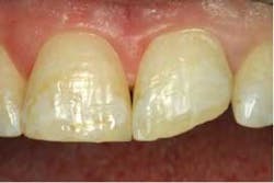
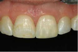
The patient presented requesting removal and replacement of a failing and unesthetic Class IV restoration on No. 9 (Fig. 1). The yellowed composite was removed and a conservative, beveled prep was created, with the bevel designed to expose the ends of the enamel rods rather than the sides in order to achieve a more reliable bond (Fig. 2).
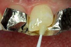
DenMat Dead Soft Foil was used to isolate the tooth from adjacent teeth, and 3M™ ESPE™ Scotchbond™ Universal Etchant was then applied to the prep for 15 seconds (Fig. 3). The etchant was then rinsed and Scotchbond Universal Adhesive was applied for 20 seconds, followed by a five-second air-drying until the adhesive didn’t move. The area was then light cured for 10 seconds (Fig. 4).
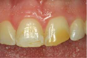
Layers of 3M™ ESPE™ Filtek™ Supreme Ultra Universal Restorative were placed using the Histological Layering Technique, with body shades used to replace deeper layers, white tint placed to mimic the hypocalcified areas on No. 8, and an enamel shade applied last, over the top of the tint and body shade (Fig. 5).
Finishing and polishing were completed with 3M™ ESPE™ Sof-Lex™ Spiral Finishing and Polishing Wheels, used in sequence. The final result was a far more esthetic restoration, which left the patient very pleased (Fig. 6).
Discussion
When used in total-etch mode, Scotchbond Universal Adhesive has been shown to deliver bond strengths equivalent to or better than leading 5th generation (two-step etch-and-rinse) and 7th generation (one-bottle self-etch) adhesives. This fact, combined with the simple one-bottle technique, makes this material a reliable choice for bonding composite restorations, such as the one shown here, as well as many other types of indirect restorations.Fig. 1: Preoperative view of failing Class IV restoration
Fig. 2: The failing restoration was removed, with the beveled prep remaining in enamel
Fig. 3: Scotchbond Universal Etchant was applied
Fig. 4: Scotchbond Universal Adhesive is applied for 20 seconds and solvents are evaporated
Fig. 5: Filtek Supreme Ultra Universal Restorative is layered using the Histological Layering Technique
Fig. 6: Postoperative view of new, layered Class IV restoration









