CareCredit supports OHA with grant
April 19, 2013
2 min read
COSTA MESA, California--CareCredit has provided a $10,000 grant to Oral Health America to support efforts to expand the Smiles Across America program to include oral health services for adolescents.
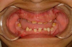
The grant will be given to the Huntridge Teen Clinic in Las Vegas, Nev., an Oral Health America partner. The Huntridge Teen Clinic will use the funds to provide dental care and appointments to uninsured and at-risk adolescents who are 12 to 18 years of age and ineligible or unable to obtain services through their local county agencies.The clinic’s goal is to make a real difference in the lives of at-risk teenagers, one adolescent at a time. One of the clinic’s recent dental success stories is Raymundo, who came to the Huntridge Teen Clinic in 2003 as a 12-year-old suffering from amelogenesis imperfect (abnormal enamel formation). After seven years, Raymundo finished his treatmen,t and was so affected by the care he received that he now attends the College of Southern Nevada. He is studying to be a dental hygienist.
“It’s estimated that on any given day there are over 2,000 adolescents, like Raymundo, in Las Vegas who have difficulty accessing oral health services,” said Brad McLaughlin, director of development, Oral Health America.
“This grant will assist in funding the Huntridge Teen Clinic programs where underserved adolescents can receive a full range of oral health services, including restorative care.”
Added Cindy Hearn, vice president branding and communications, CareCredit: “The Huntridge Teen Clinic pilot teen/adolescent program has shown great promise in its ability to enable teens to receive the dental care they need, continuing CareCredit’s commitment of improving lives by increasing access to dental care.” For more information about CareCredit, call (800) 300-3046 or visit www.carecredit.com/dental. For more information about Oral Health America, visit www.oralhealthamerica.org. To comment on this topic, go to http://community.pennwelldentalgroup.com.
About the Author
Sign up for our eNewsletters
Get the latest news and updates
Sponsored



