Smiles for Success
By Dr. Stephanie Houseman
The Dress for Success program is one that has always intrigued me. I admire the women who participate by taking a first step in rebuilding their lives. I was pleased to hear of AAWD's partnership with this organization. At last I found a charity that was calling my name. I contacted AAWD to express my interest in becoming involved with Smiles for Success and was put into contact with the local chapters of Dress for Success. It was not long before I met Pauline Otey.
We first met in August 2001. Pauline is indeed a special and deserving person. She impressed me with her warmth, her caring attitude, and her genuine appreciativeness for the dental care she was receiving. She had been laid off from her job and was working with Dress for Success to help her get back on her feet. Currently she is marketing to beauty salons a product she developed that keeps the client's ears and neck covered while under a hot dryer.
null
On examination she had many mobile teeth, root tips present, decay, and a swelling in the left sublingual gland. I referred her to Dr. Mark Travis, a local oral surgeon who worked closely with me. He extracted numerous teeth and excised the sublingual gland. Dr. Travis donated his services and he and his team were uplifted by Pauline's heartfelt thank yous.
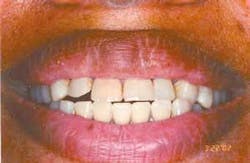
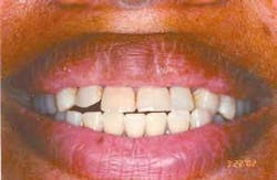
Pauline's carious teeth were restored and then I made her upper and lower chrome partial dentures. Her treatment was completed in March 2002. It was an exciting day for both of us. She grinned from ear to ear and hugs were everywhere. She was so grateful for the care she received and told me if I ever needed anything to please call her!
My heart was warmed to see the transformation in Pauline. It feeds the soul to "give back." Pauline does indeed have a "Smile for Success."
null
null



