5 economic benefits of long-term dental patients
Creating satisfied patients in your dental practice will lead to a healthy bottom line. Happy patients stay with the practice, reducing the need for as many new patients. This 30-year dentist shares his insights to his success.
All successful dental practices have at least one thing in common—patient satisfaction as their top priority. It’s a classic example of how doing good often means doing well, including financially. In my 30-plus years of practice, I’ve identified five key ways that patient satisfaction helps maximize revenue and profitability.
Satisfied patients . . .
● . . . remain loyal patients. Satisfied patients are less likely to leave, even when they change insurance plans. This loyalty creates a stable, predictable revenue stream. It also significantly reduces a practice’s overhead costs because, for example, there’s not as much need for advertising and promotions to attract replacement patients. Many patients come to my suburban Chicago office who live over an hour away, or even in other states. They return because of the quality, personalized care they know they’ll receive, as well as for the opportunity to benefit from advanced technologies such as video.
I’ve been using video since the late ’90s to improve care. Major benefits of video are that that it helps avoid misunderstandings and malpractice suits. A video clearly documents the condition, and if treatment becomes problematic, there is clear documentation of what happened. For example, if a patient claims the dentist “chipped” his or her tooth, video can show that the chip was there before treatment.
● . . . learn how to take better care of their teeth. Video enables patients to understand conditions, treatment options, and prevention habits far better than x-rays, verbal descriptions, or other efforts. This understanding helps foster trust between dentist and patient, leading to better oral health over the long term. Good oral health also drives loyalty because, for example, patients tend not to skip regular checkups due to fear about the cost or discomfort due to neglect.
● . . . are more receptive to treatment and advice. In a Futuredontics survey, 93% of respondents said they’ll keep going to a dentist who provides a clear explanation of required versus optional treatments. A practice benefits financially when a high percentage of its patients choose to pursue treatment because they understand exactly how it will benefit them.
Here’s an analogy. Auto mechanics sometimes take customers onto the shop floor so they can see a worn part for themselves. Whether it’s their car or teeth, people can’t fully comprehend a problem and its solution when they can’t see it.
● . . . share their positive experiences. Healthy mouths drive word of mouth. The latest Futuredontics survey found that 29% of patients rely on reviews when choosing a dentist, and 86% are willing to pay more for a highly-rated dentist. When patients trust their dentist and have great experiences, they don’t hesitate to share this with friends, family, and coworkers, as well as on Facebook, Yelp, and other social media. This kind of feedback benefits the practice financially by attracting additional patients and the revenue they bring with them, which can lead to reduced advertising overhead.
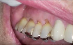
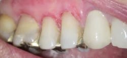
I recently had a new patient visit my office, a 70-year-old man who I had met at the gym. (See the above photos.) He had 12 non-carious lesions that were each 3- to 4 mm deep. He had a broken molar and some cracked fillings. After using video to show him the restorative needs in his mouth, he was motivated to restore all of the problems. At each stage of the process he could see his before, during, and after status of his oral health. Three months later, his entire family had become patients.
● . . . help dentists become more efficient and effective. Long-term patient relationships provide deep insights into the most effective treatments and prevention, such as adhesive dentistry applications, crown material selections, and periodontal therapy applications. This experience can save money for patients and practices alike by eliminating the time and expense of less effective approaches. It can also boost loyalty because patients are impressed that their dentist gets it right the first time.
Takeaways
Rising insurance premiums and copays are some of the reasons patients are more focused than ever on the cost of dental care, and are increasingly likely to delay or forego treatment. The good news is that dentists have ample opportunities to help their patients save money by maximizing their satisfaction through more efficient and effective care and prevention. Just as important, those savings don’t come at the expense of their practice’s bottom line because satisfied patients are more loyal and likely to share their positive experiences, which attracts additional patients.



