4 ‘keys’ for getting dental patients to ‘Yes!’
Does case presentation make you nervous? Are you afraid your patients will say no? Dr. Scott Keys dedicated himself to learning how to get patients to say yes, without making him uneasy in the process.
This article originally appeared in the Principles of Practice Management e-newsletter. Subscribe to this informative twice monthly practice management ENL here.
For many of us, the process of presenting treatment options to our patients and having those recommendations accepted is filled with some level of anxiety. How many times do we confidently present our treatment recommendations to patients and later find out that they left without scheduling an appointment?
After many failed attempts to “convince” patients that my recommendations were in their best interest, I dedicated myself to attending countless hours of case presentation courses, learning communication skills and scripts, testing case presentation software, and practicing what I learned. I was looking for the magic bullet. I thought I could find that one specific phrase that would help my patients say yes every time. In my experience, there are many techniques and catchy phrases that can help motivate patients to proceed with care, but these techniques often lead to buyer’s remorse and failed appointments.
After analyzing my treatment presentation process, I discovered four simple keys that every dentist can do to help patients make better decisions without feeling coerced into treatment.
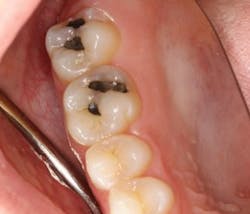
Use digital photography
Digital photography presents a huge opportunity to educate patients about their current dental condition and open the door to options available to them through modern dentistry. The use of photography allows patients to see their mouths in ways they wouldn’t otherwise. Photography plays an essential role in patients understanding their dental condition and asking for help. When patients can see their condition first hand, instances of cancelled appointments and buyer’s remorse are greatly reduced.
Consider investing in a good DSLR camera and start taking pictures of all new patients and continuing care patients. There are many great hands-on courses available that can help us maximize our skills in dental photography.
Exceed patients’ expectations of the dental experience
As dentists, we often have new patients tell us, “I hate coming to the dentist.” Why do patients dislike us so much? In just about every case, the patient’s past experiences with a dentist have set negative expectations. If we want to change that paradigm, we have to not only meet patients’ expectations, but exceed them. Here’s what we typically observe:
1. When patient experiences don’t meet their expectations, they are disappointed, they leave, and they tell others.
2. When patient experiences match their expectations, they are satisfied and may or may not proceed.
3. When patient experiences exceed their expectations, they are delighted, they proceed, and they tell others.
The patient experience starts from the time they make the initial phone call until they leave the office. Every touchpoint counts. We need to create systems in the practice that the entire team understands and follows. Systems run practices, people manage systems, and patients ultimately benefit from a well-run, patient-centered dental office that focuses on providing the best experience for each individual patient.
Be available
This may be a difficult subject for many of us, but we should consider expanding hours or opening the office on days when other practices are not available. Many of our patients want to schedule appointments after working hours or on Fridays or Saturdays. If patients are limited to scheduling appointments during prime working hours, this affects a lot of people. Patients may be more likely to schedule appointments if they don’t have to take off valuable time from work.
Meet patients where they are
I am not advocating that we pick our patients up at their homes. Instead, for us to meet patients where they are means for us to be empathetic to their current circumstances. Understand that our ideal treatment plan may not fit their current financial situation, emotional condition, or time constraints. I’m not suggesting that we do less-than-ideal treatment or compromise our ethical or moral obligation as their doctor, but in some instances, it’s OK to just get a base hit and not try to knock it out of the park. Inform patients if there are other concerns associated with their treatment, and stress the importance of maintaining good oral health. By focusing on patients’ immediate wants or needs, we can develop trust and better connections with them. More often than not, they will call us to do treatment when their circumstances change.
I am suggesting that when we genuinely take care of people and put their needs above our own, we will reap the rewards from the relationship. It may come in the form of a thank you, a gift, a referral, or even the chance to do all the dentistry we diagnosed. As dentists, we may feel rewarded just knowing that we did the right thing for our patients for the right reasons. We have the ability to help people and make a difference in their dental experiences and even in their overall lives.





