Heroic pediatric dentistry: Strip crowns for Leigh
The Heroic Dentistry Series, sponsored by Pulpdent Corporation, celebrates oral health-care providers who have made it their mission to save teeth and help patients live in comfort and smile with confidence. Here, Dr. Eyal Simchi presents a pediatric dentistry case involving a strip dental crown technique, no anesthesia, no tears, and a happy child.
The American Academy of Pediatric Dentistry (AAPD) recommends children establish a dental home by age one so that they become accustomed to seeing a dentist, and their parents can be educated about hygiene and prevention. These early appointments can help overcome fear and avoid serious problems down the road as seen in this case.
MORE READING |This really sucks! Treatment for non-nutritive sucking in pediatric dental patients
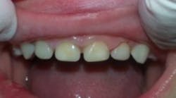
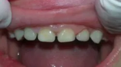
Leigh was three-years-old when he first came to my office with failed restorations and rampant caries (figure 1). He had come from overseas where both he and his mother had bad experiences with dentists and developed severe dental phobia. His mother was delighted to see that her children did not scream during treatment in our office.
Figure 1: Child presents with failed composite restorations and rampant caries.
Especially when working on children, it is important to remember that each tooth is attached to a person. Leigh was apprehensive and needed significant dental work completed quickly and without causing trauma. My goal in creating a treatment plan is to relieve discomfort, reduce dental disease and secondary decay, and restore function and esthetics, all in one visit.
MORE READING | Behavior management considerations in the pediatric dental patient
We have seen the disadvantages of conventional composite strip crowns: degradation of the bond, recurrent decay that may lead to pulpal involvement, and fracture and chipping. Zirconia crowns have been a great addition to our restorative toolbox, but they are labor intensive, require aggressive tooth reduction, and take more time. The aggressive prep requires anesthesia, which can contribute to the child’s anxiety, especially when applied to the sensitive maxillary anterior region.
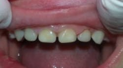
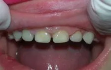
A strip crown technique (in this case, Activa BioActive-Restorative) requires fewer steps, takes less time, offers a better seal against secondary caries, and provides a more durable and fracture-resistant restoration. First, I trim and prefit Nowak strip crowns so they are even with the sulcus (figure 2). Because the prep in these cases is usually quite minimal, I typically do not need local anesthetic.
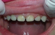
I prep the teeth with a No. 4 or No. 6 round bur, slowly removing decay with short, light touches. Incisal reduction is usually unnecessary, and I avoid it whenever possible. If needed, I use a very fine diamond to refine, shape, and open contacts. I only work two to three seconds at a time and keep a 2×2 gauze under the teeth for children who are uncomfortable with the water spray and suction. Figure 3 shows the final prep.
I apply a self-etching bonding agent, light cure, and fill the strip crowns with Activa BioActive-Restorative. I usually seat the central incisor crowns first, light cure, and then seat the laterals. I remove the strip crowns with an explorer, and very little finishing is required. I use Sof-Lex disks (3M) for the incisal and a fluted carbide at the gingival margin if necessary.
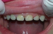
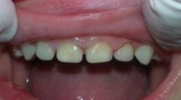
This case took less than 20 minutes and looks great (figure 4). Leigh is pleased with his smile and asked if we could fix more teeth. No anesthesia, no tears, and a happy child looking forward to his next visit to the dentist!
For more clinical dentistry articles, visit DentistryIQ.com/Clinical
Dr. Eyal Simchi is a board-certified pediatric dentist in private practice in Elmwood Park, New Jersey. As one of 10 children and with five of his own, he is well suited for his chosen specialty.
Pulpdent Corporationis a family-owned dental research and manufacturing company that is leading the way in bioactive dental materials.Pulpdent celebrates its 70th anniversary this year with renewed commitment to the company’s founding principles of education, prevention, and proactive dental care so that people can live healthier and more productive lives. To stay updated on bioactivity, visit the Pulpdent blog. For more information, visit www.pulpdent.com or call (617) 926-6666.







