That recent dental work you had completed needs to be redone, and, yes, I can do it without getting you numb!
Dr. Stacey Simmons says, "I’m not a fan of throwing my colleagues in dentistry under the bus, but when I see questionable dental work, I believe the patient needs to know that there are concerns that affect two things: 1. the integrity of the tooth/teeth, and 2. the financial impact it could have."
This article first appeared in the newsletter, DE's Breakthrough Clinical with Stacey Simmons, DDS. Subscribe here.
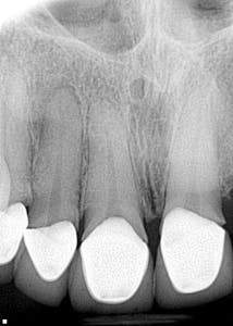
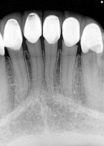
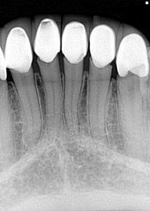
It’s one thing to see an overhang or open margin on one crown or filling, but when you see an entire mouthful of yuck, what do you tell the patient? I’m not a fan of throwing my colleagues in dentistry under the bus, but when I see questionable dental work, I believe the patient needs to know that there are concerns that affect two things: 1. the integrity of the tooth/teeth, and 2. the financial impact it could have.
So, when this patient presented to my office saying that all of her crown work was very recently done, I did a double take and asked, “Really?” Oy vey. Not fun. I recently posted this case in DE’s Breakthrough Clinical Facebook group. The responses are all enlightening and worth your read. With that being said, what would you say to this patient?
It never fails—as soon as you get a patient in your chair, you hear: “I hate needles!” or “Do I have to get a shot?” or “Why does the needle have to be so long?”
We’ve all been there, and it’s tough because management of these patients takes time and, let’s face it, energy! Is there an alternative? As a matter of fact, there is. New author Dr. Joshua Weintraub discusses the new FDA-approved Solea CO2 laser and how its application in your practice can completely change the patient experience. Why? Because you don’t need anesthesia. He gives a brief background of the laser and presents a case report. You just may be the favorite dentist in town if you’re the one who doesn’t have to give shots to your patients to do their work!
Want better case acceptance? Well, a picture is worth a thousand words. This article on how to boost your patients' desire and ability to move forward with treatment recommendations is invaluable. Getting your patients excited is key! If you don’t have a camera in your office now, I highly recommend that you invest in one today.
I love pathology. There is always something to find and decipher. These monthly cases that we publish are not always the juicy kind, but they are all worthy of assessment and follow-up. Oral and Maxillofacial Surgeon Dr. John Holtzen shares a recent pathology finding he came across. Take a look and put your skills to the test!
Cheers, my friends!
Stacey L. Simmons, DDS
Editorial Director, DE’s Breakthrough Clinical with Stacey Simmons, DDS
This article first appeared in the newsletter, DE's Breakthrough Clinical with Stacey Simmons, DDS. Subscribe here.
LAST MONTH . . .If you ignore them, they WILL go away
For more articles about clinical dentistry, click here.
For the most current dental headlines, click here.
About the Author
Stacey L. Simmons, DDS
Editorial Director of DE's Breakthrough Clinical e-newsletter
Dr. Stacey Simmons grew up in Hamilton, Montana. She did part of her undergraduate work at Purdue University and then received her bachelor’s degree in exercise physiology from the University of Utah. After applying to both medical and dental school, she decided that dentistry was her career of choice. She received her DDS degree from Marquette University School of Dentistry in Milwaukee, Wisconsin, in 2004. In private practice, she focuses her care on prosthodontics and cosmetic dentistry. She is a guest lecturer in the Anatomy and Physiology Department at the University of Montana. Outside the office, she trains for triathlons and spends time with her family. You may contact Dr. Simmons by email at [email protected].
In 2015, Dr. Simmons became the editorial director of DE's Breakthrough Clinical with Stacey Simmons, DDS, an e-newsletter focused on breaking through plateaus in clinical practice. Subscription information may be found here.
Updated May 4, 2016






