The clinical benefits of periodontal desiccation
Dental professionals battle patients’ plaque biofilm every time they treat a patient. Dental biofilm is a complex web of microorganisms, sometimes made of diverse types of microbes including fungi, algae, and bacteria.1 Because these microorganisms are living things, they evolve and adapt, so they are often harder to wipe out. The biofilm in the mouth is mainly made up of bacteria that have linked together and stacked themselves upon the surfaces of the teeth that are not routinely cleaned.1
Dental clinicians are often looking for ways to treat a patient’s biofilm and may offer advice on how to control their plaque biofilm levels at home. Because of its complex nature, biofilm often needs more than one mechanism of action to remove it from the oral cavity.1 There were various ways to remove biofilm, both surgically and nonsurgically. Now, oral tissue desiccation is another nonsurgical method for removing plaque biofilm from the mouth.2
What is tissue desiccation, and how is it used?
Desiccation is defined in medicine as the process of extreme dryness to control microbial growth.3 Thus, dental professionals should recognize that only in matters of biology and ecology does desiccation refer to the drying of tissues.3 When the tissues become desiccated, some bacteria are completely obliterated from the localized area, while others are only killed for a short period of time.3
Periodontal therapy and adjunctive services
Previously, some adjunctive services have been married with periodontal therapy to help combat dental biofilm. Adjunctive periodontal treatment services that often help to aid hand instrumentation of scaling and root planing include dental lasers, oral mouthwashes, antibiotics, and ultrasonic hand scaling.5
While studies have shown that these services are effective, sometimes there are cases where a patient returns for a periodontal maintenance appointment within eight to 12 weeks of periodontal therapy with unresponsive tissues. When biofilm is still present and periodontal disease is still active, dental professionals may feel at a loss as to what other treatment they could offer their patients. Now, thanks to advancements in technology, dental professionals can use periodontal desiccation to help to ensure a better outcome with periodontal treatment.
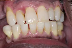
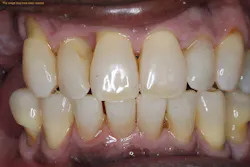
Clinical benefits of periodontal desiccation
Periodontal desiccation offers many benefits to the patient and clinician. The process of periodontal desiccation works by drying out the plaque biofilm and the necrotic tissue that could remain after periodontal scaling and root planing.2 Once the biofilm matrix is dry, it can no longer remain attached to the tooth’s surface, so it is flushed out of the periodontal pocket. This benefits the patient by reducing the high counts of microorganisms in this localized area.2
Another benefit of periodontal desiccation is that the biofilm cannot grow and divide when desiccated, thus there is a high likelihood that the periodontal bacteria are completely erased in the pocket.2,3
Clinicians may also be fond of periodontal desiccation as a treatment modality because it is a simple, pain-free procedure, and there are few side effects or contraindications.2
Dental clinicians who want to learn more about oral tissue desiccation should investigate local and national companies that can dispense the desiccation medication. These companies can provide samples, continuing education, and demonstrations of how the medication will work orally. Always review the patient’s medical history for any contraindication that could limit periodontal desiccation.
Oral tissue desiccation is a newer but less invasive alternative to help patients control plaque biofilm levels and maintain their periodontal health.
Editor’s note: This article first appeared in Clinical Insights newsletter, a publication of the Endeavor Business Media Dental Group. Read more articles and subscribe.
References
- Biofilms and oral health. Colgate-Palmolive. January 9, 2023. https://www.colgate.com/en-us/oral-health/threats-to-dental-health/biofilms-and-oral-health
- Desiccation technology: a valuable asset in dentistry. Young Specialties. January 16, 2024. https://blog.youngspecialties.com/what-is-desiccation-technology
- Desiccation. Libretexts Biology. https://bio.libretexts.org/Bookshelves/Microbiology/Microbiology_(Boundless)/06%3A
_Culturing_Microorganisms/6.14%3A_Physical_Antimicrobial_Control/6.14E%3A_Desiccation - Desiccation. Science Direct. 2024. https://www.sciencedirect.com/topics/nursing-and-health-professions/desiccation
- Pieren JA, Gadbury-Amyot C. Darby and Walsh Dental Hygiene Theory and Practice. 6th ed. Elsevier; 2024.
About the Author
Tracee S. Dahm, MS, BSDH, RDH
Tracee S. Dahm, MS, BSDH, RDH, is an adjunct clinical instructor for the North Idaho College School of Dental Hygiene in Coeur d’Alene, Idaho, and she also works in private practice. She has been published in several dental journals, magazines, webinars, and textbooks. Tracee is a key opinion leader on cutting-edge innovations in the hygiene field. Her research interests include trends in dental hygiene, improving access to dental care for the underserved, and mental health. Contact her at [email protected].







