Quicker, esthetic restorative solutions using bioactive dental materials: A smile design case study
This is the smile design case study of a woman who experienced emotional trauma, depression, years of oral neglect and substance abuse, and finally became desperate to save her smile. Step-by-step, Marc A. Johnson, DDS, demonstrates how the latest advances in bioactive dental materials make quicker, esthetic restorative solutions possible—even a one-day full-mouth reconstruction.
Editor's note: This article first appeared in DE's Breakthrough Clinical with Stacey Simmons, DDS. Find out more about it and subscribe here.
EMOTIONAL TRAUMA, followed by years of poor choices and neglect, can be devastating to a smile. Sarah had emerged from a dark period in her life, and now, embarrassed to tears and desperate to save her teeth—and her smile—she was ready to see her dentist, so she made an appointment with our dental office.
Presentation and patient history
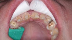
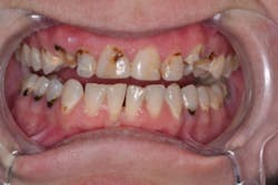
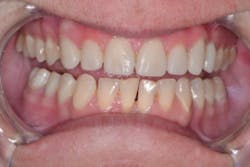
I knew Sarah when she was well and could smile at the world. Then, when the painful loss of a loved one dismantled her life, having no safety net or support, depression set in. Later, substance abuse took over, and eventually Sarah hit rock bottom. Thankfully, a local family took her in, and she is reclaiming her life. But her teeth and smile were devastated (figures 1 and 2).
Study and treatment planning
Traditional treatment options would be full-mouth reconstruction (FMR) or full-mouth extractions and dentures. There were only a few teeth in her mouth that did not have advanced decay, so FMR would necessitate root canals, build-ups, and porcelain restorations. With limited finances and a history of neglect, most practitioners might be inclined to write off the patient and prepare her for dentures, and the thought entered my mind as well. Having known Sarah during happier times, however, I wanted something better for her. But what type of restorative treatment should I attempt?
I thought about the teachings of my mentors—such as Drs. Bill Strupp, Pete Dawson, and Steve Anderson—who inspired me to practice “complete dentistry,” be a good listener, and do what is right for patients while considering their ability to afford care. I knew I was entering uncharted waters, so for weeks I reviewed Sarah’s photos and study models while she went through soft-tissue therapy. How could I apply all that I had learned, all the techniques I had mastered, and take advantage of the latest advances in dental materials to provide a direct, one-day FMR that would be affordable and agreeable to all involved?
My idea for the restorative treatment was to start with an idealized diagnostic wax-up and refractory putty matrix fabricated by Frontier Dental Lab (figure 3). We use the matrix concept when we do our veneer temps, and I was ready to see if the same technique would work for this case. It requires minimal refinement and always gets a “wow” from patients. After a lot of thought, I was committed.
and refractory putty matrix
Consultation about smile options
Sarah presented with excellent tissue health at her final hygiene visit. She was motivated and committed. A smile-options consultation using the original study models and smile wax-up from the lab showed her what could be possible. Sarah was well-informed and understood that the materials and methods were proven, but adapting them to do what we were proposing was not ... and that the long-term prognosis was unknown. She was overwhelmed with emotion at the possibility of saving her teeth and her smile. Tears flowed, and her decision was unequivocal: “Let’s try it, Dr. Johnson.”
The day of treatment
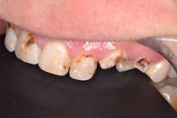
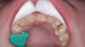
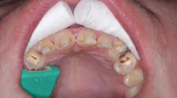
Wednesday is sedation day in our office, It's one of my favorite days—one patient and all the time I want to care for that one person. Using 3.5x loupes, caries detecting solution, and slow-speed excavation, we teased out massive amounts of decay throughout the arch with complete pulpal communication in teeth Nos. 6, 10, and 11 (figure 4). We were prepared for pulpal involvement and the possibility that multiple teeth might require root canal treatment on the fly. I immediately performed same-day root canals on the three teeth (figure 5).
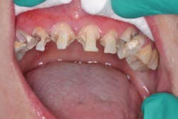
All that remained of the patient's decayed teeth were "stubs and nubs" emerging from nonbleeding healthy gingiva. I cleaned the teeth, total-etched with Ultra-Etch (Ultradent), applied All-Bond (Bisco), and thinned and cured.
Next came the magic moment. I loaded the “ideal smile” putty matrix with Activa Bioactive-Restorative A1 shade (Pulpdent), dispensed some additional material in and around the remaining teeth, and seated the matrix (figure 5).
The matrix was filled with Activa Bioactive-Restorative and placed.
Activa is a moisture-friendly, heavy-body flowable material applied directly from the syringe using an injection technique ideally suited for this procedure. Because of its low surface tension and intimate adaption to tooth structure, Activa penetrates and flows into every nook and cranny, which is unusual for a resin-based material.
When isolated from oxygen by the matrix, Activa will self-cure in three minutes. However, as a precaution, I let it sit a few minutes longer. The dual-cure capability allows the material to auto-cure inside the matrix, eliminating polymerization stresses induced by light-curing large bulk fillings. For good measure, I also light-cured after the matrix was removed, which produced greater conversion of double bonds and a more complete cure.
Finally, the moment of truth came. I looked to the ceiling, then to my assistant, and said, “Please work.” I popped the matrix off the teeth and ... behold ... teeth! See Figure 6.
Using just a scaler, I quickly and easily removed almost all of the excess to a perfect marginal finish. However, there were two remaining clinical concerns: 1. All of the teeth were bonded together, which was fine if they were veneer temps—but not final restorations, and 2. if I separated the teeth, I would be left with gaps. So, this is what I decided to do.
Using a Microcopy XF flame-shaped diamond, I opened up any overfilled embrasures, which required minimal effort thanks to a detailed matrix. Using QwikStrip serrated and polishing strips, I separated each of the teeth proximally and polished them. As anticipated, the proximal contacts for teeth Nos. 5–12 were light. To tighten the contacts post-operatively, I left the centric occlusal stops on Nos. 6–11 lighter than the occlusal stops of the posterior teeth (figure 7).
Two weeks later
At the post-operative visit two weeks later, the contacts were perfect, and I achieved anterior disclusion in all excursions. No other refinement of the restorations was needed other than polishing of the surfaces, which required minimal effort. Activa has a chameleon effect that blends shades and reflects adjacent hues to create a natural esthetic.
So, in less than six hours, at a comfortable pace, we were able to do the following:
- Perform complete root canal treatment on teeth Nos. 6, 10, and 11.
- Restore all posterior surfaces of teeth Nos. 2, 3, 4, 13, 14, and 15 back to full crown contour (MODLBV), alternating between Omni-Matrix bands (Ultradent) and the Composi-Tight 3D ring/matrix system (Garrison Dental Solutions) to create tooth forms.
- Complete a very nice, direct-bonded, smile design case for teeth Nos. 5–12 with miraculous results, using a one-visit direct restorative technique that preserved natural dentition, saved time, and was affordable for the patient.
Six months later
Although four-year cases with Activa have been reported, only time will tell what the longevity of this case will be. So far, the case is at six months and counting confidently (figures 8 and 9). The durability of Activa has been reported in the literature. A patented, rubberized-resin molecule in the resin matrix absorbs shock and stress, and provides unique flexural strength that resists chipping and fracture. A far more expensive option that requires laboratory-fabricated porcelain crowns might provide a more esthetic result, but it was not a viable possibility in this case. The esthetic outcome achieved with this direct restorative technique is very good, and we know we did the right thing for this particular patient.
New treatment options, efficiency, cost savings
From a time-cost-value perspective, we can now achieve remarkable efficiency and cost savings. Smile design cases can be completed using guides fabricated with minimal reduction and delivered with a smile matrix from the lab. Preparation, surface conditioning, loading the matrix, placement, curing, finishing, and polishing can be done in as little as an hour's time.
Activa Bioactive is a game changer that offers treatment options never before available. The possibilities seem limitless and the implications for patient outcomes are profound, regardless of a patient’s economic status. We can now quickly deliver esthetic restorative solutions with materials that have a great affinity for tooth structure, provide the ionic exchange and full benefits of bioactivity, and rival the physical properties of composites on the market today.
Editor's note: This article first appeared in DE's Breakthrough Clinical with Stacey Simmons, DDS. Find out more about it and subscribe here.












