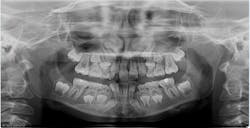
Can you see the supernumerary on this panoramic x-ray?
In between Phase I and II of treatment, the office purchased an i-CAT FLX V-Series to replace their 2D panoramic system. For an 8-year-old female, who presented for orthodontic treatment to Dr. Greg Greenberg’s office in Frisco, Texas, that decision provided clarity to a treatment plan and a less invasive option for this young patient.
Panoramic images are often difficult to interpret due to significant superimposition; additionally, structures that are not centered in the focal trough are often not visualized or obscured beyond recognition. Additionally, even on the best panoramic, the exact location of the mesiodens cannot be determined.
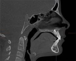
Prior to starting Phase II, a Cone Beam CT with the i-CAT FLX QuickScan protocol was utilized. The 3D scan of the patient allowed for precise visualization of an inverted and impacted mesiodens located palatal to the central incisors that was difficult to see and was initially overlooked on the 2D panoramic image.
Thus, the ability to visualize the mesiodens in three dimensions and recognize that it was not immediately affecting the permanent dentition was tremendously advantageous to the evolving treatment plan. Close follow-up without intervention was elected in this situation.
Invasive treatment on a young patient can often be scary to both the patient and their parents; nobody wants their child to have surgery, especially if it could have been avoided. Because dental fear and anxiety acquired in childhood can persist into adulthood, Dr. Greenberg said, “I view these choices as critical in the prevention of negative associations with dental treatment, thereby assisting my patients to be confident in their oral health in the long run.”


