Life is looking up! Dental office provides free orthodontics, restorative dentistry to military veteran
Many United States military veterans are eligible for health-care benefits through the Department of Veterans Affairs (VA). However, only a few of those veterans are eligible for dental benefits, and many others cannot afford the premiums for the optional VA Dental Insurance Program. In fact, the Homeless Veterans Dental Program reports that dental care is ranked as one of the top three unmet needs for homeless veterans.
Kevin McPeek is one of those veterans. He served in the Army as an 82nd Airborne Paratrooper from 1973 to 1977, but became disabled later in life by a sudden health condition that left his family in poverty and without access to dental care. When Kevin began having trouble with his teeth, his wife, Cindy, tried desperately to get him some help.
ADDITIONAL READING |A 'mini' extreme dental makeover: Implants with a double-arch All-On-4
"I took him to a dentist and they told me all the work that needed to be done on him," she said. "The kids kept chipping in [money] to get him in to the dentist and have work done. We tried to keep up, but we just couldn't."
Kevin and Cindy now live with their daughter in Texas and get by on Social Security Early Retirement Disability. "It's only $1,209 per month," says Kevin. "And of that, the IRS takes out $189. We don't have a lot of money."
In order for veterans to qualify for full dental benefits through the VA, they must have developed a dental condition during their service, be 100% disabled, or have been a prisoner of war. Many families, like the McPeeks, do not meet these criteria and are left trying to live with painful dental problems or pay the costs out-of-pocket.
Cindy recounts their struggle vividly, which began after Kevin suffered from three brain aneurysms and underwent brain surgery.
ADDITIONAL READING | Orthodontic case study using the Differential Straight-Arch Technique yields remarkable results without surgery, extractions, or headgear
"He spent seven weeks in the ICU," she says. "Not knowing if he was going to make it was the worst part of that—it was really hard. Kevin was able to move to a different floor in the eighth week, and he was able to come home."
Today, Kevin suffers from permanent memory problems, but otherwise has recovered remarkably. And although the family feels fortunate that he can read, walk, and talk in just the same way as before his aneurysms, they have suffered significant hardship from the medical bills. The McPeeks lost their home, sold their cars, and began racking up credit card debt. And soon afterwards, Kevin's daily medications began taking a toll on his oral health.
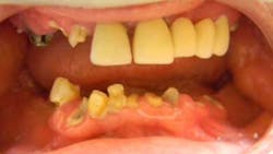
"Kevin started having terrible trouble with his teeth," says Cindy. "He was in pain, and then his teeth started breaking off at the gumline. And it's my understanding that it's from the inhalers, which just eat at the teeth. He's on three different ones and a nebulizer every day, so it just ate them away."
Cindy wrote to Rodeo Dental and Orthodontics to ask for help for her husband. By then the family had already paid $3,000 for a dental bridge that was falling out, and they were desperate to find a dentist who would offer them a payment plan. She had already written to at least 10 dentists without success.
"I told them I'm not asking for charity—I'm asking that you take care of my husband's teeth and let me pay out what I owe," says Cindy. "And Rodeo responded to me. I was so thankful. Justin called me from Rodeo, and he said they had looked at our letter, and they try to help with the community, and they felt like we were deserving of having a little help. Never once did they make me feel like a charity case."
Rodeo Dental's Dr. Zarrabi and Dr. Mansour led a team of more than 30 people including doctors, dental assistants, schedulers, and staff members who all came together to help Kevin. He would need multiple rounds of surgery to fix his dental problems, relieve his pain, and restore his health.
ADDITIONAL READING |Treating a diabetic patient with periodontal disease using the LANAP protocol: A case study
"This was a complete team effort," says Dr. Zarrabi, dentist and CEO/co-founder of Rodeo Dental and Orthodontics. "We've got the most incredible team in the world. They came together—everybody got behind the McPeeks. And when they came in, we heard their story . . . and they're just wonderful people. We felt like we had to give back. Especially with Mr. McPeek being a veteran, we thought it was really important to take care of him."
Dr. Mansour is the oral surgeon who worked on Kevin, and he shares a similar sentiment.
"When Kevin and Cindy first walked in, it broke my heart to see him in such pain and agony. It was tough for him to smile and for him to eat as well," says Dr. Mansour. "And he's such a brave soul. For him to go through that just really broke our hearts. We knew with modern dentistry, with modern medicine, and a great patient and a great team, we could fix this."
Dr. Mansour began a two-month-long treatment plan to restore Kevin's smile. When asked if he was nervous about undergoing dental treatment, Kevin says not at all. "His whole office, all the people who work for him, are just absolutely marvelous. He was above and beyond anything I expected from a dentist."
Kevin recently received his brand new set of teeth, and he can't stop smiling.
"I feel wonderful!" says Kevin, laughing. "I look in the mirror and I smile at myself. I can't believe that's me! And being able to smile at people, and they smile back. I don't scare them anymore."
His wife has also observed the changes that have occurred for her "miracle man," as she likes to call him.
"Oh, he's so proud of his teeth! He's so proud of them," says Cindy. "He looks in the mirror and he went for so long with bad teeth, then no teeth, and he got in the habit of covering his mouth with his hands when he would laugh. He loves his teeth! The people at Rodeo Dental are just amazing, amazing people."
As told to Elizabeth C. Haynes.
SOURCE: PRNewswire







