Serial extractions: Using a tooth-supported surgical guide to treat edentulous dental implant overdenture cases

Using a technique called serial extractions, Murtaza Paghdiwala, DMD, presents a case study showing how a tooth-supported 3-D printed surgical guide—based on optical and CBCT scans—can be used to treat edentulous dental implant overdenture cases. Among the benefits of this protocol is that the patient does not have to be without teeth at any time during treatment.
Aug. 1, 2017
5 min read

Using a technique called serial extractions, Murtaza Paghdiwala, DMD, presents a case study showing how a tooth-supported 3-D printed surgical guide—based on optical and CBCT scans—can be used to treat edentulous dental implant overdenture cases. Among the benefits of this protocol is that the patient does not have to be without teeth at any time during treatment.

Editor's note: This article first appeared in DE's Breakthrough Clinical with Stacey Simmons, DDS. Find out more about it and subscribe here.


FULLY GUIDED IMPLANT PLACEMENT
has been shown to be an efficient and predictable way to place dental implants. (1) While there are numerous options for fabricating a surgical guide, a tooth-supported 3-D printed guide based on an optical and a CBCT scan is the most accurate and cost-effective method. Traditionally, a tooth-supported guide has been reserved for single-tooth dental implant replacements, while edentulous cases require a less accurate tissue-supported guide or a tedious or expensive bone-supported guide. However, with a technique we call serial extractions, a tooth-supported guide can be used to treat edentulous cases.

Treatment planning full-mouth implant-supported rehabilitation can be a daunting task. The classic treatment has been to extract the patient's teeth first, delaying implant placement with bone grafting or, if possible, by placing immediate implants. The implants are placed freehand with varying degrees of success or with an invasive bone-supported guide. (2) Patients then have to endure a traditional complete denture during implant integration.

The serial extractions technique

By properly phasing treatment with the serial extractions protocol, a case can go smoothly for both the patient and the clinician. From the patient’s perspective, it is prudent to ensure that he or she is able to wear a comfortable healing prosthesis throughout the entire treatment. For the clinician, it is important to maximize predictability and minimize inefficiency during the procedure.

Extracting the teeth in phases allows the patient to wear the existing prosthesis or a newly fabricated healing partial denture while the bone grafts heal and the implants integrate. The partial denture abutments also provide a stable base for a tooth-supported surgical guide. The patient does not have to be without teeth at any time during the procedure when using the serial extractions technique.

Case study

A 62-year-old African-American male presents for extraction of all remaining mandibular teeth, as well as placement of an implant-supported overdenture. At presentation, the patient’s health is noncontributory. The existing teeth have extensive periodontitis with a hopeless prognosis. Tooth No. 22 has Class III mobility and is removed prior to beginning treatment (figure 1).

Figure 1: Pre-op

A polyvinyl siloxane (PVS) impression is taken of the remaining mandibular teeth. A CBCT scan is taken of the patient without a scan guide, and a CBCT scan is taken of the PVS impression in the mouth. The impression scan can be inverted and aligned with the patient’s CBCT scan in the implant planning software. This gives an accurate digital representation of the bone as well as the dentition (figure 2).

Figure 2: CBCT image

A stable guide can rest on just two teeth, and also can take some tissue support if necessary. The implants can be placed as immediate implants, provided enough teeth remain to support the guide. In this case, the right lateral (No. 26) is virtually extracted and implants are planned for sites Nos. 23 and 26. A tooth-supported guide is designed and 3-D printed (figure 3).

Figure 3: Surgical guide

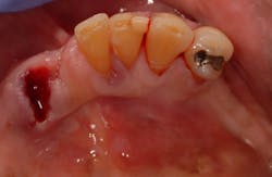
On the day of the procedure, only tooth No. 26 is extracted (figure 4). A full-thickness flap is laid, and implants are placed at site Nos. 23 and 26 just as planned. The final locator abutments are placed and torqued to their final values. A partial denture is fabricated for the patient to wear comfortably during implant integration using the remaining abutment teeth.

Figure 4: Post-op

After four months of integration, a final impression is taken. The remaining teeth are extracted, and an implant-supported complete mandibular overdenture is fabricated.

The patient did not have to be without teeth at any point throughout the entire procedure. The surgical component was stress-free for both the patient and the clinician. This protocol for serial extractions allows for predictable dental implant success to increase the standard of care we offer our patients.

References

1. Bover-Ramos F, Viña-Almunia J, Cervera-Ballester J, Peñarrocha-Diago M, García-Mira B. Accuracy of implant placement with computer-guided surgery: A systematic review and meta-analysis comparing cadaver, clinical, and in vitro studies. Int J Oral Maxillofac Implants. 2017. doi: 10.11607/jomi.5556.

2. Umapathy T, Jayam C, Anila BS, Ashwini CP. Overview of surgical guides for implant therapy. J Dent Implants. Practitioner Section. 2015;5(1):48-52. doi: 10.4103/0974-6781.154438.

Editor's note: This article first appeared in DE's Breakthrough Clinical with Stacey Simmons, DDS. Find out more about it and subscribe here.

For more articles about clinical dentistry, click here.

Murtaza Paghdiwala, DMD, was born and raised in Bucks County, Pennsylvania. He completed his undergraduate degree in biology at Northeastern University in Boston, Massachusetts. He returned to Pennsylvania to earn his DMD at Temple University School of Dentistry. He graduated in 2013 with honors and has been working with his father in private practice. Dr. Taz’s practice focuses on dental implant and cosmetic dentistry. When not at the office, he enjoys saltwater fishing, camping, and hiking with his family. You may contact him at pearldentalarts.com.

For the most current dental headlines, click here.

Sign up for DentistryIQ Newsletters
Get the latest news and updates.